霍勇教授完成我国首例经皮心室重建术
来源: 发布时间:2013-10-17 09:24
北京大学第一医院心血管内科(以下简称“北大医院心内科”)在科主任霍勇教授的带领下,于2013年10月9日在国内率先通过微创介入的方法对两名陈旧前壁心肌梗死合并室壁瘤患者施行了经皮心室重建术,实现了国内在该项技术零的突破。
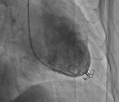
“经皮心室重建术”是针对急性心肌梗死患者易发的心力衰竭的陈旧前壁心肌梗死伴心力衰竭患者的新的治疗方法。这类患者常因本身病情危重而无法承受外科手术治疗。“经皮心室重建术”基于国外最新研发的一种新的器械,该器械是一个左(心)室隔离装置,形似“降落伞”,采用微创介入的方法,经股动脉置入到左室心尖部,将异常收缩的室壁隔离开,从而减少左室容积,改善心力衰竭患者临床症状及心功能。该项技术最早报道于2007年,近年来在国外逐渐开展,积累了上百例的经验,并获得欧洲CE认证。
截至目前,北大医院心内科已经成功完成两位患者的治疗。
第一位60岁的男性患者,4年前因为急性前壁心肌梗死,虽然也接受了急诊支架治疗,但是仍然遗留了室壁瘤。4年来规律服用药物治疗,但仍然不时发生心力衰竭,多家医院因认为室壁瘤手术治疗风险高而止步。
第二位65岁的男性患者,今年3月发生急性前壁心肌梗死,同样也是接受了急诊支架治疗,但是依然遗留了室壁瘤,仅今年就因为心力衰竭住院两次。而由于病情重、手术风险大,咨询过多家医院后未采取外科手术治疗。
北大医院心内科经过周密的术前准备,由霍勇教授、洪涛教授分别为两名患者成功地将“降落伞”-左室隔离装置放置到患者心室中,减少患者心脏的容积,有效改善心力衰竭的临床症状。目前两名患者恢复良好。
近年来心脏病的治疗有了长足的发展,但是作为所有心脏病最终结局之一的心力衰竭却始终威胁着人类健康,5年生存率甚至比某些恶性肿瘤还差。导致心力衰竭的原因众多,最常见的病因之一为急性心肌梗死。据报道,每年全球有1700万人死于心血管疾病,其中一半以上死于急性心肌梗死,即使患者存活后也容易发展为慢性心力衰竭。据估计,中国急性心肌梗死的发病率约为45/10万~55/10万,目前还呈上升趋势。急性心肌梗死后由于心肌损伤以及随后的瘢痕化,导致心脏扩大以及心力衰竭的发生,尤其是前壁心肌梗死合并室壁瘤的患者更容易发生心力衰竭,不仅影响患者的生活质量,还造成巨大的家庭和社会的经济负担。对于该类患者除了药物治疗之外,也可以采用外科手术治疗,但是由于需要手术的患者本身病情危重,而外科手术创伤较大,对外科手术者的要求也比较高,临床使用受限。
一项新技术的施行,既要有敢为天下先的勇气,也需要多方面的支持。我国首例经皮心室重建术在我院得以成功进行,是在刘玉村院长、丁洁副院长、潘义生副院长、医务处王平处长、袁建峰和张渺副处长、科研处谢囡副处长的直接支持下取得的。在前期准备过程中,不仅心内科上下高度重视,而且得到了医务处、科研处、设备处等职能处室的积极支持和医学影像科邱建星副主任医师、王鹤主治医师、超声诊断中心陈路增副主任医师的通力协作。而在手术进行中,离不开介入血管外科杨敏副主任医师、心脏外科王进副主任医师和麻醉科胡晓副主任的有力配合。因此,该项技术的实施,不仅体现了北大医院心内科虽然作为国内最早开展介入治疗的心脏中心之一,但不满足于过去在冠心病及电生理介入治疗方面取得的成绩,锐意进取,不断创新的精神。同时也体现了我院作为综合医院的优势,各个科室精诚团结,互相促进,形成合力,才能共同发展。而医院职能处室在整个过程中提供了有力支持。我院“水准原点”的精神不仅体现在医疗技术方面,同样体现于团队合作精神方面。正是有了多个科室的保驾护航,我们才敢放心前行!
“雄关漫道真如铁,而今迈步从头越”。近年来,心血管介入治疗领域突飞猛进,心内科将在霍勇主任的领导下不断引起国外新的治疗技术包括经皮心室重建术、经皮二尖瓣修复术、经皮主动脉瓣置换术以及用于治疗顽固性高血压的经皮肾交感神经消融术等,为国内心血管疾病患者带来更多新的治疗方式。
来源于:北京大学第一医院

请先登录,先评论.