[CIT2014]支架内再狭窄病变球囊扩张后无复流的血管内超声影像分析
来源:医心评论 发布时间:2014-03-03 10:38
金琴花 中国人民解放军总医院(301医院);心血管内科副主任医师,擅长冠心病的介入治疗及肾动脉疾病的治疗等。
病史简介
50岁男性,胸闷、胸痛10年,加重1周入院。患者于2003年因急性前壁心肌梗死于外院进行造影发现前降支闭塞,开通后置入1枚支架,具体不详。2006年再次发生胸痛,就诊于外院,发现前降支再狭窄,再次介入治疗并置入一枚。近1周再次出现胸闷以“不稳定心绞痛”收入我科。冠心病危险因素有高血压、糖尿病、吸烟和家族史。
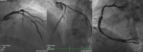
入院后择期行冠状动脉造影(图1)。

支架内出现狭窄,考虑到反复出现支架内狭窄,建议外科治疗,在与患者及家属沟通后选择介入治疗。选择6F的EBU3.5指引导管,应用runthrough指引导丝到达病变远端后应用2.5x15mm的球囊以12atm扩张,重复造影显示前降支血流消失(图2)。

图2 前降支中段后无血流,回旋支正常显影
患者有轻微胸闷,血流动力学尚稳定。立即往冠脉内给予硝酸甘油100~200ug合心爽100ug多次,重复造影仍然没有血流;支架内应用3x10atm的切割球囊在支架内扩张1次,扩张压力12~16atm,在支架边缘应用2.5的球囊低压扩张,也没有好转;沿前降支导丝送入微导管到达病变远端,抽出导丝,沿微导管向冠脉内给予硝酸甘油100~200ug,合心爽100ug多次,仍无明显好转。进行血管内超声(图3)。

|
a图3 支架内狭窄病变扩张后发生无复流的IVUS影像 |
图3显示:a~h为自前降支支架近段到支架远端的影像,a图可见支架内夹层,可见内膜片突入(可能是球囊扩张引起);b和c可见支架内增生组织内膜面回声增强,其后可见大片密度减低区,组织显影不清,支架梁影可能在此区域内,显示不清,在2点到6点区域影像类似脂质斑块;此处面积最窄,管腔面积6.69mm2;d图支架内增生组织密度低,表面覆盖一层高密度组织,可疑脂质斑块;图e和f可见突入管腔的不规则阴影,可疑血栓,图g支架膨胀良好,支架内未见明显增生组织,图h支架边缘大致正常管腔,可见轻度斑块,未见夹层及壁下血肿。
因是在球囊扩张后的影像,故考虑之前斑块可能是富含脂质的斑块伴有血栓,在扩张后导致大量脂质成分或血栓到达远端,造成栓塞、激发炎症反应、痉挛、内皮水肿等引起无复流。之后继续冠脉内间断应用硝酸甘油等药物,血流最终恢复至接近3级,返回病房。
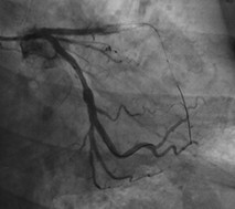
图4 前降支中段原支架内狭窄消失,远端未见夹层。
讨论
广义上无复流现象被认为是冠状动脉心外膜血流的突然消失,特别是在球囊扩张和支架置入后。这种情况可能有两种机制,一种是微血管阻塞或功能异常;一种可能是由于病变没有充分扩张、血管痉挛或者夹层、血栓等原因导致血管堵塞引起。血管内超声可以识别这两种机制。我们常说的无复流现象是指前一种情况,多见于急性心肌梗死介入治疗时,虽然解除了心外膜血管的狭窄,但是仍然没有心肌灌注。
无复流现象可见于10%的急诊介入治疗中,且和30天死亡率相关。此时往往认为机制复杂,包括远端栓塞、缺血损伤、再灌注损伤及微血管床损伤等多种机制。治疗的方法多是药物治疗,集中在局部血管扩张治疗和局部抗血小板治疗;另外,在急诊介入治疗时可考虑机械性方法,包括血栓抽吸、远端保护装置等。无复流现象也见于择期介入治疗患者中,特别是在桥血管病变介入治疗中。有时在非桥血管病变择期治疗中也可以见到,经OCT等影像学检查发现,发生无复流患者中多为富含脂质的斑块。但是,在再狭窄病变中发生无复流现象很少,以前再狭窄病变考虑主要是内膜增生导致,但是近年来也有观察发现支架内再狭窄病变中不乏富含脂质的动脉粥样硬化斑块。
这个病例发生了无复流现象,反复给药无缓解,再次球囊扩张血流仍无恢复的情况下,为了明确原因,进行了血管内超声,排除了两端夹层、明显血栓等心外膜血管机械性阻塞,考虑仍然是微循环血管损伤引起,在继续反复给药情况下逐渐恢复。同时,我们观察了病变的形态,虽然是球囊扩张后的影像,我们仍然可以发现一些类似脂质斑块、血栓的血管内超声影像。结合患者支架置入后已经近7年,支架内发生动脉硬化的可能性更高。因此,这个病例提示即使是在再狭窄病变介入治疗中也要警惕无复流现象的发生。
《医心评论》独家所有,请勿转载!转载请标明出处!

请先登录,先评论.