OCT揭示药物洗脱支架内晚期血栓形成罕见原因
来源: 发布时间:2015-05-08 17:30
病史
49岁男性患者,因持续胸痛于外院接受溶栓治疗失败,后转入我院接受补救性PCI术治疗。
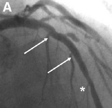
6年前,患者曾因不稳定性心绞痛接受冠脉造影检查,结果显示左前降支(LAD)近段有一严重病变,对角支弥漫性病变,左回旋支完全闭塞。随后于LAD置入1枚3.5×12 mm西罗莫司洗脱支架,置入后造影示支架远端段有轻度不规则(图1星号处),但总体效果良好。尝试再通左回旋支失败。

图1
9个月后,择期复查造影显示LAD支架效果良好,其它血管病变也无进展。
辅助检查
心电图
V2~V5导联ST段抬高。
冠状动脉造影
LAD完全闭塞,高度提示一处为血栓的影像位于支架中部(图2箭头处)。

图2
光学相干层析成像(OCT)
支架远端10 mm处破裂斑块,与之相关的一个大块红色血栓逆行延展进入支架内。该斑块有一个大的脂质池和一个已破裂的薄纤维帽(图3 A箭头处为红色血栓 有阴影;B箭头处为破口 黄色星号为薄纤维帽,星号系伪影,加号为钙化斑块)。

图3
诊断
冠状动脉粥样硬化性心脏病
急性广泛前壁心肌梗死
支架置入术后
诊疗经过
冠脉内予阿昔单抗,导丝通过后,血流恢复TIMI 2级。
随后于该远端病变处成功置入1枚3.5×12 mm依维莫司洗脱支架(图4大箭头系原支架,小箭头系新置入支架)。随后复查OCT发现原支架近端(图5C)状态良好,无贴壁不良、支架边缘夹层或残留血栓等,并且全段内壁均有均匀的轻度内膜增生(图5D,小箭头)。两个支架之间的血管壁完好,新支架也置入良好。

图4

图5
之后,患者无不良心血管事件发生。
分析讨论
本例总结
在本病例中,血栓起源于远端破裂斑块并进展至近端,进入支架远端。OCT不仅发现了远端的罪犯破裂斑块,并且可显示近端支架内的轻度、均一新生内膜覆盖。
这一罕见的病因发现可能有其重要的实际意义。实际上,在本例中仅需处理罪犯病变,从而可简化操作过程,也避免了重复处理之前的药物洗脱支架。
本例提示
已置入支架附近的易损斑块破裂引起的临床和血管造影表现可能与传统的支架内血栓形成难以区分。但是OCT独特的强大空间分辩率(15 μm)非常有助于发现支架边缘的致病基质,因而十分有助于对此类并发症患者的临床决策。红色血栓在OCT上会引起远端阴影,这可能会影响介入前对药物洗脱支架的全面评估。
转自心在线

请先登录,先评论.