病例分享| 陈淑霞:三支病变2次PCI围术期治疗
来源: 发布时间:2015-12-15 10:44
![]()
陈淑霞,副主任医师,副教授,博士,毕业于河北医科大学,现任河北省人民医院心脏三科副主任,专业特长:心血管内科常见病,如冠心病、高血压、心律失常、心力衰竭、心脏瓣膜病、心肌炎、心肌病及心脏神经症等;为河北省中西医结合脑心同治委员会委员;完成河北省卫生厅、河北省中医药局多项科研课题,并荣获科技进步奖;曾参与编写医学专著10余部,并在SCI及国家级等杂志发表论文共10余篇。
『推荐理由』在替格瑞洛上市之前,氯吡格雷抵抗的应对措施主要包括增加氯吡格雷的剂量、增加第三种抗血小板药物。在该病例中,恶化性心绞痛患者造影发现三支血管病变,植入2枚支架后5个月发生支架内再狭窄及血栓形成。事实证明增加氯吡格雷剂量并不能完全避免氯吡格雷抵抗者支架内血栓的发生。更换为替格瑞洛后血小板抑制率显著提高。患者的病情就此稳定,未再发生冠脉事件,表明替格瑞洛是氯吡格雷抵抗者预防和治疗再次发生ACS的更优选择。
病史资料(女,65岁,60 kg)
就诊时间: 2013年3月。
主诉: 因发作性胸闷、胸痛5年,加重1个月入院。
现病史: 患者于情绪激动时出现心前区闷痛,持续3-5分钟,1月来发作频繁,程度加重,持续10分钟左右含服“硝酸甘油”缓解。
既往史: 既往2月前行PCI术治疗,置入2枚支架;既往高血压病史30年。
体格检查: 体温36.3℃,脉搏72次/分,呼吸20次/分,血压132/70 mm Hg。颈静脉无充盈,双肺呼吸音可,未闻及干湿性啰音。心率72次/分,律规整,各瓣膜区未闻及病理性杂音。腹平软,肝脾肋下未及,下肢无浮肿。
实验室检查: 血尿便常规:大致正常。凝血四项:正常范围。生化:AST 20 U/L,ALT 12 U/L,TC 4.27 mmol/L,LDL-C 2.98 mmol/L,Glu 6.29 mmol/L。糖化血红蛋白:6.8%。肌钙蛋白:正常范围。
入院心电图: 窦性心律,室性早搏,Ⅰ、aVL、V4-V6导联ST段压低、T波倒置。
![]()
彩色超声诊断报告: 左房轻度扩张,三尖瓣少量返流,左室舒张功能减低,EDD 48 mm,EF73%。
![]()
血栓弹力图/基因检测/其它: 1.阿司匹林及氯吡格雷对血小板抑制率率均为0%,MA-ADP 63.8 mm,氯吡格雷加量至150 mg日一次。2. 5天后复查氯吡格雷对血小板抑制率27.9%,阿司匹林对血小板抑制率0,MA-ADP 55.7 mm。3. 1月后复查氯吡格雷对血小板抑制率8%,阿司匹林对血小板抑制,30.1%,MA-ADP 65.4 mm。改为氯吡格雷75 mg 日一次。
![]()
![]()
初步诊断
病症: 1. 冠心病;2. 高血压3级(很高危);3. 2型糖尿病;4. 高脂血症。
危险评估: 伴高血压,高脂血症冠心病。GRACE评分高危患者。
给药情况: 1)阿司匹林300 mg 负荷剂量,100 mg维持剂量;2)氯吡咯雷300 mg负荷剂量,75 mg qd;3)依诺肝素6000 U 皮下注射 q 12 h。
冠脉造影
造影时间: 入院第19天。
造影前用药: 造影前给予肝素2000单位,造影中追加肝素4000单位。
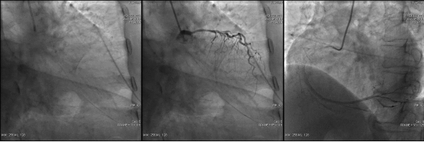
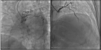
造影结果(一): LAD:中远段狭窄30%~40%,较长病变。LCX:中段狭窄80%~85%。
![]()
造影结果(二): RCA:近段狭窄85%~90%。
![]()
造影结论及应对策略: LAD:中远段狭窄30%~40%,较长病变。LCX:中段狭窄80%~85%。 RCA:近段狭窄约85%~90%。造影后向患者家属交代病情,与家属沟通后决定择期行介入治疗。
第一次手术过程
手术时间: 入院第19天。
术中用药: 术中追加肝素4000单位。
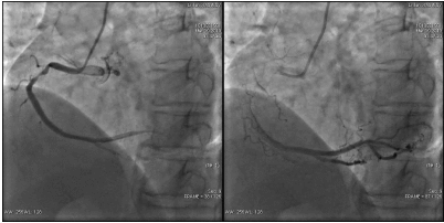
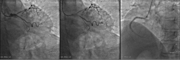
手术过程: 于LCX、RCA植入支架两枚。效果良好,未见残余狭窄,TIMI血流3级。
![]()
![]()
第一次术后及随访
随访结果: 术后测血栓弹力图:阿司匹林及氯吡格雷对血小板抑制率均为0%,MA-ADP 63.8 mm,氯吡格雷加量至150 mg日一次。5天后复查氯吡格雷对血小板抑制率27.9%,阿司匹林对血小板抑制率0,MA-DP 55.7 mm。1月后复查氯吡格雷对血小板抑制率8%,阿司匹林对血小板抑制,30.1%,MA-ADP 65.4 mm。改为氯吡格雷75 mg 日一次。患者自上次出院后,坚持口服药物,5月后活动后再次出现胸闷、胸痛,发作较频繁,持续数分钟缓解,为进一步诊治再次入院。
第二次手术过程
手术时间: 2014年8月。
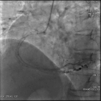
造影结果: LAD病变较前未见明显变化,RCA次全闭塞,LCX支架内100%闭塞。
![]()
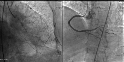
手术过程: 再次支架植入,效果良好恢复血流,TIMI3级。
![]()
第二次PCI术后及随访
随访结果: 由于既往应用氯吡格雷后血小板抑制率欠佳,且患者出现支架内再狭窄及闭塞,术后换用替格瑞洛治疗。5天后出院时复查血栓弹力图:阿司匹林及替格瑞洛对血小板的抑制率分别为85%和44.7%,ADP-MA 48.6 mm。1月后复查阿司匹林及替格瑞洛对血小板的抑制率分别为62.8%和48.8%,MA-ADP 44.3。术后1年,一直服用阿司匹林+替格瑞洛,病情稳定,未发生并发症。
病例总结
个例分析: 患者为老年女性,65岁,出现冠脉三支病变,在双联抗血小板基础上出现频繁心绞痛及支架内狭窄及闭塞。住院期及出院时GRACE评分分别为168分、124分,均属于高危患者,CRUSADE出血积分40分,属于中危患者。监测初始双抗对血小板抑制率均欠佳,考虑氯吡格雷抵抗是支架内再狭窄的关键因素之一。由于氯比格雷是前体药物,部分患者会出现氯比格雷弱代谢现象。目前中国有近40%患者有氯吡格雷弱代谢。
用药经验: 1)替格瑞洛双联抗血小板治疗的受到各类指南Ⅰ类推荐。建议在急诊,复杂病变优先选择使用替格瑞洛。2)在血栓弹力图检测出氯比格雷抵抗人群应该给予更积极的抗血小板治疗。另外一些复杂病变,例如左主干、多支病变或者多支架患者也建议及早服用替格瑞洛。3)替格瑞洛用药注意事项:目前使用病例中观察到部分患者有小出血的发生,如有出血发生及早减量或停药。4)有少部分患者因类腺苷效应引起呼吸困难,多为给药初始发生,持续时间大约一周,建议给予静脉输入茶碱帮助患者渡过初始敏感期,之后即可耐受。必要时调整剂量或改为其他药物。
转自:门诊新视野

请先登录,先评论.