病例分享|章晨:PCI术后非靶血管急性闭塞1例
来源: 发布时间:2016-01-05 16:53
病史资料(女性,63岁,50 kg)
就诊日期:2015年7月4日。
主诉:因“发现血糖升高3年”入院,“平板运动阳性”、“冠脉CT示冠状动脉多支血管狭窄严重”,考虑冠心病,转入我科。
现病史: 患者3年前发现血糖升高口服降糖药治疗,服药不规律,患有“高脂血症”7年,不规律服用立普妥、阿司匹林,患有“高血压病史”5年,未服用降压药,检查发现“平板运动阳性”、“冠脉CT示冠状动脉多支血管狭窄严重”,考虑冠心病,转入我科。
既往史:既往高血压5年、高脂血症7年、2型糖尿病3年、8年前脑梗塞。
体格检查: 体温36℃,脉搏98次/分,呼吸20次/分,血压100/66 mm Hg。 神志清楚,查体合作,自动体位,平卧位。大汗,无颈静脉怒张,双肺呼吸音粗,未闻及干湿性啰音。 心音有力,律齐,心率98次/分,各瓣膜听诊区未闻及病理性杂音。腹软,无压痛及反跳痛,肝脾肋下未触及。双下肢无明显水肿。
实验室检查:【cTnT】0.01 ng/ml;【CK-MB】7 U/L;【血生化】Scr 80 μmol/L,K+ 4.32 mmol/L;【血常规】WBC 6.7×109/L,N 35.7%,HGB 122 g/L。
![]()
入院心电图: 7月4日:内分泌科,普通ECG,正常。
![]()
运动平板:ST段压低。
![]()
![]()
冠脉CT及动态心电图:冠状动脉多支血管硬化狭窄严重、ST-T改变。
![]()
![]()
初步诊断
诊断依据:平板运动阳性,动态心电图可见ST-T改变。
病症:1、2型糖尿病,2型糖尿病性周围神经病变,2型糖尿病性周围血管病变;2、冠状动脉粥样硬化性心脏病;3、腔隙性脑梗塞;4、高脂血症;5、高血压病;6、脂肪肝。
危险评估:高血压5年、高脂血症7年、2型糖尿病3年,ST-T压低。
给药情况:1)阿司匹林片 100 mg QD;2)氯吡格雷片 75 mg QD;3)阿托伐他汀钙片 40mg po QD;4)比索洛尔 2.5 mg QD;5)埃索美拉唑片 20 mg QD;6)呋塞米片 10 mg QD 螺内酯 20 mg QD。
第一次冠脉造影
造影时间:2015年07月17日。
造影前用药:造影前给予肝素3000单位。
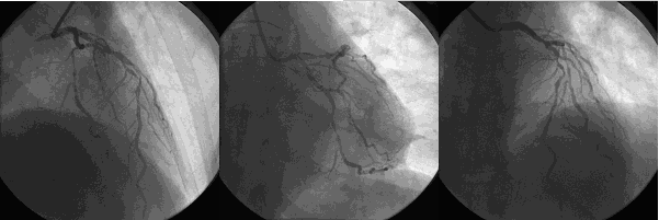
造影结果1:右冠弥漫性病变,近中段90%狭窄。
![]()
造影结果2: 左主干正常,前降支弥漫性斑块,近中段80%~90%狭窄,回旋支中远段80%~90%狭窄。
![]()
![]()
造影结论及应对策略:本病例行冠脉造影发现: 右冠弥漫性病变,近中段90%狭窄。左主干正常,前降支弥漫性斑块,近中段80%~90%狭窄,回旋支中远段80%~90%狭窄。家属要求PCI治疗。本次先开通右冠,择期开通左冠。
第一次手术过程
手术时间:2015年7月17日。
术中用药:术中追加肝素4000单位。
手术过程1:BMW导丝到右冠远端。
![]()
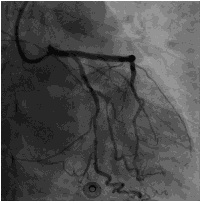
手术过程2:Powerline球囊2.0×25 mm用8-12 atm×10 s×2次扩张,选择EXCEL支架2.5×36 mm植入RCA近中段病变用12 atm×10 s×1次扩张,再用Voyager nc球囊2.5×12 mm用12-24 atm×10 s×5次扩张,造影未见残余狭窄,TIMI血流3级。
![]()
PCI术后: RCA术后心电图。
![]()
术后2天突发胸痛、胸闷伴呕吐。胸痛发作时心电图。
![]()
![]()
![]()
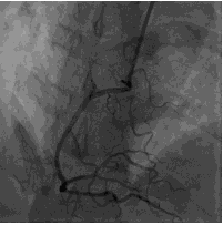
急诊冠脉造影
造影时间:2015年07月19日。
造影前用药:造影前给予替格瑞洛180 mg、肝素3000单位。
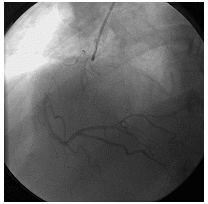
造影结果1:右冠近中段原支架未见明显狭窄。
![]()
造影结果2:左主干正常,左前降支近段100%闭塞,回旋支中远段80%~90%狭窄。
![]()
造影结论及应对策略:本病例行冠脉造影发现: 右冠近中段原支架未见明显狭窄,左主干正常,左前降支近段100%闭塞,回旋支中远段80%~90%狭窄。立即行前降支PCI术。
第二次手术过程
手术时间: 2015年7月19日。
术中用药:术中追加肝素4000单位。
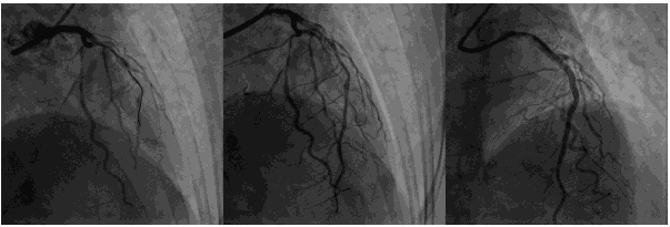
手术过程:BMW导丝通过LAD近中段闭塞病变处至远端,送入抽吸导管,抽吸血栓后可见全程显影,注入替罗非班,用PWR球囊2.0×15 mm用8-12 atm×10 s×2次扩张,用Voyager球囊2.0×15 mm用8-12 atm×10 s×2次扩张,选Execel支架2.5×36 mm植入LAD中段病变用12 atm×10 s×1次扩张,再用NC 球囊2.75×15 mm×12-22 atm×10 s×4次扩张,用Grip球囊3.0 mm×12 mm用12 atm×10 s×4次扩张。造影示未见残余狭窄,TIMI血流3级。
![]()
![]()
术后心电图:
![]()
PCI术后及随访
术后给药: 拜阿司匹灵 100 mg qd;倍林达 90 mg bid;可定 20 mg qd。
出院心电图:
![]()
病例总结
病例分析与总结:患者择期造影发现严重三支病变,开通右冠狭窄后前降支急性闭塞心肌梗死,此时需要快速起效、强效的抗血小板预处理,ONSET/OFFSET研究显示替格瑞洛与氯吡格雷相比起效更快,且维持剂量抗血小板作用更强,一致性更好。二次手术LAD血栓抽吸后植入一枚长支架,择期再开通回旋支。对于多支病变、植入多枚支架患者需要更强效的口服抗血小板药物。2015年ESC NSTE-ACS指南推荐替格瑞洛用于所有无禁忌证、缺血中-高风险患者(如肌钙蛋白升高),不论患者的起始治疗方案如何,都应使用替格瑞洛,包括已服用氯吡格雷的患者。
证据引用:
![]()
个人替格瑞洛用药经验及心得回顾:1)替格瑞洛无需通过肝脏代谢可直接抑制P2Y12受体抗血小板,30分钟快速起效,优于氯吡格雷,非常适合急诊PCI术前使用。 2)替格瑞洛本身为活性药物,无需代谢激活,药物抵抗发生较氯吡格雷更低。 3)替格瑞洛抗血小板作用比氯吡格雷更强,冠脉血栓事件更少发生。
医师介绍
![]()
章晨,金华市中心医院心血管二病区医师,毕业于温州医科大学,硕士学位。有较丰富的心血管介入经验,包括PCI、起搏器植入、射频消融。
转自:门诊新视野


请先登录,先评论.