余福玲:冠脉支架术后抗血小板治疗出血1例
来源: 发布时间:2016-01-06 11:21
病史资料(男,44岁)
主诉:突发胸痛3小时
现病史:患者入院前3 小时无明显诱因突发胸部闷痛,位于胸骨中下段处,非撕裂性疼痛,呈持续性,无放射他处,伴大汗淋漓,面色苍白,无头晕、黑矇、恶心、呕吐。
既往史:有高血压史1年多,未治疗。
个人史:吸烟史27年,1包/日,未戒烟。
婚育史:已婚已育,配偶及子女均体健。
家族史:父母有高血压病史。
体格检查:体温36.4℃,脉搏80次/分,呼吸19次/分,血压180/100 mm Hg。双肺无啰音,心界叩诊向左下扩大,心率80次/分,律齐,未闻及杂音,双下肢无水肿。
辅助检查:肌钙蛋白Ⅰ:2.2 ng/mL;电解质、肝肾功能、血常规、凝血功能及尿粪常规均正常LDL:3.81 mmol/l。
入院心电图:Ⅱ、Ⅲ、aVF出现病理性Q波,V5-V6、aVL导联T波倒置。
![]()
心脏彩超:左心室节段性运动异常;左心房增大;左心室壁增厚;左心室充盈压增高,射血分数54%。
![]()
初步诊断
病症:1、冠状动脉粥样硬化性心脏病:非ST段抬高性心肌梗死;2、高血压。
给药情况: 阿司匹林100 mg,1次/天; 氯吡格雷 75 mg,1次/天;瑞舒伐他汀钙片 20 mg,1次/天;琥珀酸美托洛尔缓释片 95 mg,1次/天; 贝那普利 10 mg,1次/天。
危险评估:Grace评分危险分层为高危,遂行冠状动脉造影检查。
冠脉造影
造影时间:2014年07月25日。
造影前用药: 造影前给予肝素3000单位,造影中追加肝素2000单位。
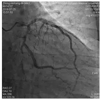
造影结果(一):
![]()
造影结果(二):
![]()
造影结论及应对策略:本病例行冠脉造影发现: 右冠优势型,LM末端斑块溃疡、LAD、D未见明显狭窄,mLCX约95%狭窄,OM无明显狭窄,TIMI血流3级,见回旋支到右冠侧枝循环。mRCA闭塞。造影后向患者家属交代病情,与家属沟通后决定做介入治疗。
第一次手术过程
手术时间:2014年7月25日下午1点50分。
术中用药:术中追加肝素2000单位。
手术过程:右冠中段闭塞。
![]()
右冠植入Partner支架3.0×24 mm。
![]()
第二次手术过程
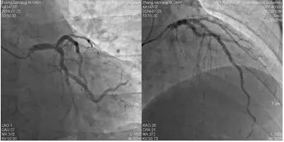
手术时间:2014年7月30日。
术中用药:术中追加肝素2000单位。
手术过程:送Elite导丝到LCX远端,沿Elite导丝送入MINI TREK 2.5×15 mm球囊到LCX病变处,以6-8 atm压力扩张后造影示狭窄减轻,TIMI血流3级。沿Elite导丝植入Firebird 2.75×33 mm支架到LCX病变处,TIMI血流3级。沿Runthrough导丝植入Firebird 4.0×18 mm支架到LM及LAD开口病变处, TIMI血流3级。
![]()
PCI术后及随访
术后用药:阿司匹林 100 mg qd;氯吡格雷 75 mg qd;瑞舒伐他汀 20 mg qd;琥珀酸美托洛尔缓释片 95 mg qd;贝那普利 10 mg qd。
基因检测:CYP2C19基因检测:中代谢。
用药调整:停用氯吡格雷,改为替格瑞洛90 mg bid。
随访结果:1、出院后1周,门诊随访:无胸痛,BP:120/70 mm Hg, HR:62 bpm。诉排血尿一次,伴牙龈出血,无黑便。2、继续原剂量,随访一周,仍有出血,替格瑞洛减量,无出血。3、随访一年,无胸痛,出血等症状。
病例总结
用药经验:1、24h内早期应用使用美托洛尔降低急性心梗患者的心梗再发风险47%。TIMI Ⅱ-B研究:在适合接受β受体阻滞剂治疗的急性心肌梗死患者中,比较即刻和延迟使用美托洛尔的疗效。即刻美托洛尔治疗组720例,在rt-PA治疗2小时内给予美托洛尔(第1天15 mg iv, 随后50mg 口服 bid,此后100 mg bid);延迟治疗组714例,第6天给予美托洛尔 50 mg 口服 bid,随后100 mg bid 口服。
![]()
2、24h内早期应用美托洛尔3个月即可显著降低急性心梗患者的死亡风险36%。随机双盲的哥德堡研究中,1395名已确诊或疑似急性心梗患者入院后随机分为安慰剂组(n=697)和美托洛尔组(n=698)治疗,起始为美托洛尔/安慰剂15mg iv,随后改为100 mg bid po治疗90天;90天后所有患者均给予美托洛尔100 mg bid po治疗至少2年。
![]()
3、替格瑞洛研究:PLATO研究,大出血和致死性出血、TIMI大出血、需要输红细胞、致死性出血方面,替格瑞洛组和氯吡格雷组之间无显著性差异。
医师介绍
![]()
余福玲,医学博士,福建医科大学附属第一医院心内科主治医师,中华医学会心电生理和起搏分会福建分会青年委员。
转自:门诊新视野

请先登录,先评论.