CTOCC2015|葛均波:正向开通前降支支架内慢性完全闭塞病变1例
来源: 发布时间:2016-01-18 13:55
病历资料
患者,男性,49岁,主诉反复活动后胸闷气促14余年,加重6月余。2001年12月患者反复出现活动后胸闷气促,偶伴胸痛,无头晕头痛、恶心呕吐、出汗、乏力、黑矇、晕厥等,持续数分钟后缓解,未予就诊。后患者胸闷气促症状加重,伴胸痛、出汗、乏力,就诊我院,行冠状动脉造影及支架植入术,于前降支植入支架2枚,报告未见,术后患者胸闷气促症状较前缓解,出院后予阿司匹林、氯吡格雷双联抗血小板1年。2003年起患者反复出现活动后胸闷气促,无胸痛、恶心呕吐、出汗、乏力,每1~2个月1次,持续数分钟后自行缓解,未予重视。2015年3月患者胸闷气促症状较前加重,频率增多,就诊外院,行冠状动脉造影术提示前降支支架内闭塞,报告未见。2015年10月患者胸闷气促症状较前加重,就诊我院急诊,现患者无不适主诉,否认心悸、心前区疼痛;呼吸困难、水肿、尿少等,为行冠状动脉造影及支架植入术收住我科。
既往史
疾病史:冠心病14余年,平素未予规律随诊。否认高血压病、糖尿病病史。手术史外伤史:2001年12月PCI术后,2015年3月冠状动脉造影术后;否认其他手术外伤史。抽烟25余年,每日10支。
体格检查
T:36.5℃,P:90次/分,R:20次/分,BP:122/75 mm Hg。神清,精神尚可,呼吸平稳,营养中等,表情自如,发育正常,自主体位,应答流畅,查体合作。双肺叩诊清音,听诊呼吸音清。心前区无隆起,心界不大,心率90次/分,律齐。
入院诊断
1、冠状动脉粥样硬化性心脏病;2、PCI术后。
造影结果
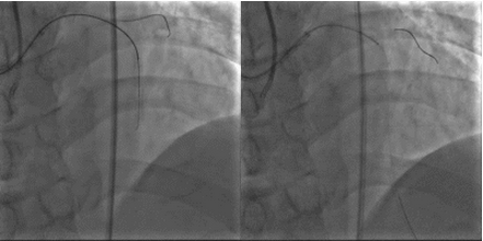
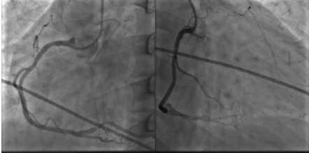
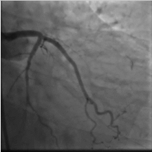
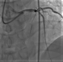
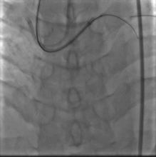
2015年10月23日:左主干远段30%狭窄;左前降支近段支架自开口完全闭塞;左回旋支中段长病变,狭窄40%~50%,高位钝缘支粗大,未见狭窄(图1)。右冠粗大、优势型,近段管壁不规则,左室后支、后降支未见狭窄(图2、3)。
图1
图2、3
手术过程
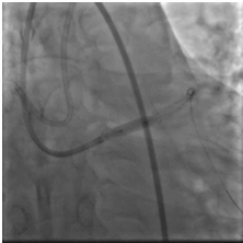
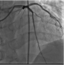
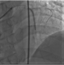
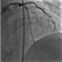
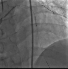
取0.014" Runthrough NS导丝通过病变送入高位钝缘支远端(图4),送入Atlantis SR血管内超声导管至左主干远段,未见明确前降支开口影像,0.014" Sion导丝未能通过前降支近段支架内闭塞病变处,换用0.014" ConquestPro导丝成功通过前降支近段支架内闭塞病变送至前降支中段(图5、6),换入0.014" Sion导丝至前降支远端,Sprinter Legend 2.5×15 mm球囊锚定导丝后,再以该球囊成功通过闭塞病变,反复以10~12 atm×5 s扩张(图7)。复查造影显示前降支恢复TIMI 3级血流,前降支近段处残余狭窄50%,中段局限性狭窄70%(图8)。Sprinter Legend 2.5×15 mm球囊以6 atm×8 s扩张前降支中段病变后,送入IVUS导管至前降支中段连续自动回撤示前降支中段心肌桥征象,近段弥漫性纤维斑块形成。植入Buma 3.5×25 mm雷帕霉素药物支架以10 atm×8 s扩张释放(图9),稍前送该支架球囊至两支架交界处以10 atm×8 s再次扩张塑形。行IVUS检查左主干内支架贴壁不良。取Quantum 4.5×12 mm高压球囊至左主干支架内以14~20 atm×8 s扩张塑形(图11),复查造影示支架扩张满意,残余狭窄<30%,血流TIMI 3级,回旋支血流未受影响(图12)。复查血管内超声示支架扩张满意,贴壁良好,支架两端无夹层征象。
图4
图5、6
图7
图8
图9
图10
图11
图12
术者体会
该患者14年前于本院就诊并植入2枚支架,患者当时35岁,由于工作压力较大、生活不规律等引起心肌梗死。本患者侧支较丰富,如果正向开通不顺利具备逆向开通的条件。术者开始计划IVUS Guided CTO,但患者前降支自开口完全闭塞,找不到适合的微通道。将IVUS导管送入中间支后回撤观察血管内影像,可以找到回旋支开口但反复尝试无法找到前降支开口处。仍决定先尝试正向开通。通过多次尝试导丝顺利通过病变,但球囊扩张病变后IVUS提示前降支中段心肌桥征象,近段弥漫性纤维斑块形成,且各投照体位造影均无法观察到,这一现象并不多见。支架植入后造影显示前降支血流恢复,复查IVUS显示左主干内支架漂浮在管腔内,贴壁不良。如本病例未行高压扩张,今后若再行冠脉介入治疗,导丝非常可能进入支架与血管壁之间。于是采用4.5 mm高压球囊扩张,最终结果满意。由此可见,IVUS指导CTO操作及支架植入情况非常必要。
转自:门诊新视野

请先登录,先评论.