Tako-Tsubo心肌病&心衰——全面认识,全程管理
来源: 发布时间:2016-07-04 09:22
病例报告
一位56岁的女性患者,因严重的胸痛和呼吸短促由急救车送入急诊室。既往有上消化道出血病史,并且几天前出现黑便。其冠脉危险因素包括主动吸烟和高血压。
急诊室诊疗经过
体格检查:神情紧张,呼吸困难。血压72/60mmHg,心率138次/分(窦性心动过速)。颈静脉压正常,肺部听诊清晰。心脏听诊心律整齐,无杂音。外周无水肿。肠鸣音活跃。
心电图提示:窦性心动过速、V3~V6导联ST段抬高,符合急性前壁心肌梗死特点(图1)。胸片提示心界正常、肺野清晰。化验结果:肌钙蛋白I 0.02ng/mL,血红蛋白10.8 g/dL,血肌酐0.63 mg/dL。
图1 心电图提示窦性心动过速,I、II、V3~V6导联ST段抬高。
急诊室医生考虑冠状动脉前降支LAD闭塞,诊断急性前壁心肌梗死,给予口服氯吡格雷、阿司匹林及静脉应用肝素。因血压低暂时未应用β受体阻滞剂。为行急诊冠脉造影和介入治疗将患者转入三级保健医院。转运途中发生心脏骤停。
心导管检查
在心导管检查室,患者接受了气管插管、机械通气及置入主动脉球囊反搏装置。静脉应用肾上腺素进一步维持收缩压。冠脉造影未发现冠脉血管狭窄。左室造影提示严重的左室收缩功能不全、左室射血分数20%及明显的“心尖气球样变”,左室舒张末压25 mmHg。Tako-Tsubo(应激性)心肌病(TTC)诊断成立。随后的二维超声心动图证实患者存在严重的左室收缩功能不全伴“心尖气球样变”、左室流出道梗阻和重度二尖瓣反流。因二尖瓣反流影响,不能测量左室流出道压力阶差。右室收缩功能正常。
住院期间诊疗经过
患者被转运至ICU。复查血红蛋白5 g/dL,与急性上消化道出血有关(推测TTC引起的应激反应引起)。急诊胃镜检查可见胃窦部血管出血,于内镜下压迫止血、注射肾上腺素。给予输血,同时停用抗栓药物。
实验室检查:肌钙蛋白峰值1.62 ng/mL、BNP峰值1040 pg/mL。住院3d后查超声心动图仍存在左室收缩功能不全(射血分数30%)伴左室内血栓形成。在控制患者不再发生上消化道出血情况下开始应用肝素和华法林抗凝治疗。几天后患者病情得到改善。逐渐停用肾上腺素、撤除主动脉球囊反搏装置、脱离呼吸机辅助呼吸。
心脏磁共振显像(CMR)结果显示:左室心尖部气球样改变,不存在心肌梗死(注射钆造影剂后无延迟增强)。左室内存在3处离散分布的血栓。无脑血栓形成的临床表现。继续抗凝治疗。
复查超声心动图左室收缩功能改善,射血分数从30%上升至35%,左室流出道梗阻现象消失,二尖瓣反流程度改善,由重度减至中度。初始应用长效美托洛尔12.5mg和赖诺普利2.5mg。复查心电图T波对称、深倒置,QT间期延长(图2)。患者病情好转出院。
院外治疗情况
出院4周后第一次复诊,患者病情明显改善。复查超声心动图“心尖部气球样变”消失,左室射血分数上升至55%,左室内血栓消退。心电图表现为持续的T波倒置。停用华法林、β受体阻滞剂、ACEI。
TTC是新近被认识的一种急性起病的心肌病,以显著的左室收缩功能障碍为特征,好发于中老年女性,发病前有明显的应激源,是一种可逆性疾病。近年来,这种不常见的心肌病(5%~10%的女性患者可疑急性冠脉综合征)越来越多,并且被人们广泛认识。然而发病早期,人们很难将TTC与急性冠脉综合征区分开来,也常常将TTC与充血性心力衰竭相混淆。
临床表现
急诊室中TTC患者的典型表现为突发胸部不适和呼吸短促。心电图常提示缺血性改变(50%TTC患者心电图存在ST段抬高,与LAD闭塞引起的急性前壁心肌梗死心电图改变一致)。另有报道的病例中,心电图表现为广泛导联的T波倒置或前壁导联Q波形成。肌钙蛋白升高可见于90%的TTC患者,但在随后的连续监测中其峰值较急性冠脉综合征低。对于典型TTC,肌钙蛋白T峰值为0.6 ng/mL。低幅度的肌钙蛋白升高与显著的左室功能不全存在矛盾现象,是因为发生了心肌顿抑,而没有发生明显的心肌梗死。
有经验的临床医生怀疑TTC,可能是因为其好发于女性及发病前存在应激源。应激包括躯体因素(存在于40%~45%的患者),如急性传染病、外科手术,也包括情感因素,如极度愤怒或因家人去世感到悲痛。有礼貌地询问患者或家人关于社会压力方面的问题,对于揭示有无情感触发因素很重要。现在我们已经知道,这种心肌病约10%是自发的(无明显的触发因素),因此“应激性心肌病”这个命名容易引起误导。
影像学检查
急诊行冠脉造影和左室造影对TTC与急性冠脉综合征的鉴别诊断很重要。遇到一个可疑TTC患者,在没有明确诊断之前,当成ACS是能被接受的。即使对于已行左室造影的患者,二维超声心动图仍然很重要,可以通过其评估左室流出道梗阻、二尖瓣反流、左或右室血栓以及右室功能异常的情况。TTC患者左室室壁运动异常(气球样变)常发生于3个部位。最早报道的左室“心尖部气球样变”可见于75%的患者,是目前最常见的,被认为是这种心肌病的标志。“左室中段气球样变”被认为发生于剩余的小部分患者中(约25%)。人们对于室间隔气球样变的认识已经越来越多。第三种类型是临床十分少见的“心底部气球样变”。总的来说,TTC患者心脏每个部位的运动异常都与冠状动脉狭窄不同,可以通过详细的影像学检查鉴别),如二维超声心动图、左室造影和CMR。需要注意的是,心尖部气球样变与急性冠脉综合征中LAD闭塞引起室壁运动异常相似,而心底部气球样变与急性心肌炎引起的室壁运动异常相似。对于不能明确诊断的患者,磁共振成像很有价值,因为钆延迟增强(心肌瘢痕的标志)在TTC中很少见,而在急性冠脉综合征受累血管分布区和急性心肌炎的局灶分布区延迟增强。
约25%的患者可见右室室壁运动异常,典型的位于心尖部1/3和右室腔一半处,最容易在四腔切面的超声心动图和CMR检查时观察到。右室受损在左室心尖部气球样变和左室中段气球样变中均可见到,常伴随射血分数下降。右室内也可发生血栓。TTC患者右室收缩功能异常对血流动力学的影响仍不明确。
住院治疗
第一个24h内,根据患者血流动力学状态和并发症决定住ICU还是普通病房。传统意义上说,处理TTC与急性冠脉综合征引起的左室功能异常患者相同,给予β受体阻滞剂和ACEI类药物。然而这些药物能否改善这种急性心肌病还不清楚,因为其左室功能异常本身可自行恢复。β受体阻滞剂和ACEI类药物(标准剂量)并不能抑制TTC的发生与再发(20%的患者在发病前曾接受这些药物治疗)。在作者的临床实践中,一般在左室功能恢复正常前(约2~6周)给予这些药物治疗。阿司匹林和氯吡格雷不是必用的,因为TTC不是急性冠脉事件。右或左室内血栓形成的患者,静脉应用肝素并服用华法林抗凝治疗是恰当的。住院期间死亡率低(2%~3%),但仍有患者死于心脏事件(心脏骤停、心室颤动)或并发症(癌症、严重的肺部疾病)及心脏破裂。
充血性心力衰竭
在一些人群中,充血性心衰使TTC变得更复杂,其严重程度可从胸片中的肺淤血到心源性休克,BNP水平也可升高,在急性冠脉综合征中也能见到。TTC患者中BNP升高水平可能是急性冠脉综合征中的3~4倍。但要记住,BNP的峰值不一定发生在48h。心衰部分是因为左室收缩功能下降(均左室射分数30%),如发生在LAD闭塞引起的急性前壁心肌梗死中则收缩功能降低更明显。心肌细胞水肿在心肌收缩功能异常中很常见(最好通过CMR评价),也可以引起心衰,其机制可能是通过降低心室顺应性,增加心室充盈压。
同样患者左室流出道梗阻可加重充血性心衰,这是因为存在二尖瓣收缩期前移。尽管不常见,但能很好地说明这是TTC的并发症,发生率为5%~10%,常见于左室心尖部气球样变者。一般来说,左室流出道梗阻在左室室壁运动异常恢复正常后消失。如果左室流出道梗阻和二尖瓣收缩期前移持续存在,应该考虑是否合并肥厚性心肌病。
对于这样的患者,严重的二尖瓣反流是影响充血性心衰的另一方面原因。左室室壁压力增加和二尖瓣瓣叶对合异常,引起二尖瓣收缩期前移,从而导致严重的二尖瓣反流。典型的二尖瓣反流杂音可能被左室流出道梗阻的杂音掩盖。严重的二尖瓣反流也可能不是因二尖瓣收缩期前移引起,而是二尖瓣钙化所致。
中度心衰(典型的肺淤血)可以用呋塞米治疗。合并低血压或心源性休克时应给予积极治疗,包括静脉应用血管收缩药物和(或)植入IABP。这些患者对静脉应用儿茶酚胺效果较好,如多巴胺、去氧肾上腺素(在本例患者中应用)和去甲肾上腺素。但是应用这些药物的效果可能与理论相反,因为TTC病因中最常见的解释就是儿茶酚胺介导的心肌毒性。尽管如此,临床实践中儿茶酚胺类药物对这种心肌病的低血压是有效的。目前并没有证据表明非儿茶酚胺类升压药物效果更好,如血管加压素。IABP对改善低血压有更深远的影响,一些研究者担心IABP会通过减少左室容量而加重左室流出道梗阻,但在作者的临床实践中并没有遇到这类问题。
心室内血栓
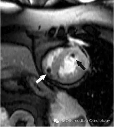
左室或右室壁无运动为血栓形成提供了基础(图3)。与冠状动脉闭塞引起的急性心肌梗死导致的血栓不同,TTC患者的血栓是多发的,且位置分布不同。这些血栓可以引起体循环或肺循环栓塞。因此,除大出血外,对TTC患者初期静脉应用肝素是合理的。就作者个人经验来说,TTC出现心室内血栓时,通常会在心室功能恢复正常前持续应用华法林。
图3 心脏MRI提示右室和左室血栓形成(白色箭头示右室、黑色箭头示左室)。
心律失常和心电图改变
除严重的左室功能异常,临床上严重的心室颤动在TTC中也不常见。虽然心室颤动发作很少,但无预警,有时是致命的。最常见的是尖端扭转型室性心动过速,发生在明显的QT间期延长患者中(图4)。TTC的心电图特点是在发病的前几天T波进行性倒置、QT间期延长。即使在QT间期超过500 ms的患者中,尖端扭转型室性心动过速的发生率仍然很低。存在心动过缓、传导阻滞、心率变化较大(如心房颤动)的患者更易发生。因为QT间期延长是迟发的过程,作者建议住院期间应密切监测QT间期,避免应用延长QT间期药物。尤其是对心动过缓的患者(心率低于60次/分)更应注意。

无论是院外还是住院期间,患者经常出现心房颤动,在老年人群中更容易见到。心房颤动的标准治疗包括转复窦律和控制心室率,同时抗凝治疗。
出院后管理
出院后1个月,对该患者复査超声心动图证实左室功能恢复(偶有恢复时间较长者)。左室收缩功能完全恢复是TTC的标志,如果患者持续存在左室功能不全者应高度怀疑另一种或合并存在其他心肌病。在作者看来,左室射血分数恢复至正常后停用β受体阻滞剂、ACEI和抗凝药物是安全可行的。
5年内TTC的复发率约为5%,且复发可能是多次的(作者见到一例患者复发3次),β受体阻滞剂、ACEI、CCB和硝酸盐类药物不能阻止其复发。第一次诊断TTC后,85%的患者生存期为3年,常因非心脏疾病死亡,如癌症和慢性阻塞性肺疾病。目前关于TTC的长期预后还不明确,可能与年龄、并发症等有关。
转自:医脉通心血管
责编:Sami

请先登录,先评论.