莫让心律失常性心肌病成顽疾
来源: 发布时间:2009-04-03 09:11
莫让心律失常性心肌病成顽疾 北京大学人民医院 李学斌
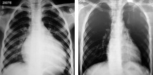
“不治之症”危及患儿 男性患儿,6岁时因心悸、气短在当地省级儿童医院就诊,被诊断为“病毒性心肌炎、扩张性心肌病(扩心病)、心力衰竭(心衰)合并窦性心动过速(窦速)”。患儿服用包括美托洛尔、利尿剂等在内的控制心衰及窦速的药物后,病情相对稳定。 3年后,患儿临床症状进行性加重,转至另一省级医院就诊,仍被诊断为“扩心病伴窦速”,给予相应治疗后疗效甚微。病情的逐渐进展导致患儿行动困难并长期辍学,同时家属也在“患儿病情严重,预后极差,可能需要心脏移植”的医嘱中惴惴不安。 2007年4月,患儿至我院就诊,当时查体心率为140次/分,血压为90/60 mmHg,双肺布满湿罗音,心前区明显隆起。X线胸片示心界明显扩大、心胸比例为0.70(图1)。超声心动图提示:左室明显扩大,左室内径65.3 mm,心肌运动呈弥漫性减弱,左室射血分数(LVEF)31%。上述证据均表明,患儿病情严重,处于心衰晚期。 “孰因孰果”困扰医师 对于经两家省级医院治疗6年,病情无法得以控制的患儿,明确其疾病诊断成为患儿入院后的当务之急。究竟是扩心病伴重度心衰及心动过速,还是心动过速引发了心律失常性心肌病,心衰与心动过速孰因孰果的疑问困扰着医师。 不同的诊断思路决定着不同的治疗策略。若以心衰为因、心动过速为果,难以解释患儿对心衰药物治疗无反应的事实。因此,以心律失常为因、心衰为果,由于患儿心动过速长期控制不佳而使心衰无法缓解的思路逐渐成为主流思路。 “对症治疗”孕育转机 随后的心内电生理检查证实,患儿存在房间隔附近的房速,经详细标测、反复诱发及确认后,其房速被成功消融。 1个月后,患儿病情明显好转,房速终止且心功能有所改善。1年后的随访结果显示,患儿心脏逐渐缩小,甚至完全恢复了正常(图2),心功能也随之改善,左室内径由65.3 mm缩小为46 mm,LVEF由31%升至66%。启示 患儿既往诊断为“心肌病合并心衰及心动过速”,几乎被认为是“不治之症”,而更正诊断为“房性心动过速诱发心肌病及心衰”后,由于射频消融可以根治房速,彻底去除病因,心衰自然可得以控制,这就是该患儿从“不治之症”到“重获新生”的关键所在。由上述典型病例可见,心律失常性心肌病的诊断至关重要,临床实践中亟待重视此类疾病,唯有正确诊断才能进行有效的对症治疗,勿让此类疾病再次成为“不治之症”。
图1 患儿术前X线胸片
图2 患儿术后1年X线胸片
心律失常相关概念解读
图3 无休止性室性心动过速患者的心电图
无休止性心律失常 定义 指持续发作或反复、顽固性发作的心动过速。当心电图记录的心动过速比例占总数>50%(室上性心动过速)或10%[室性心动过速(室速)]时,可诊断为无休止性心动速(incessant tachycardias),且该疾病易诱发心动过速性心肌病。 发生机制 多为折返机制,如无休止性室速,少数为自律性,如不良性窦性心动过速(窦速),此外还包括触发性机制。以折返机制为例,由于患者既往已具备了折返发生的三要素(双径路、单向阻滞及缓慢传导),因此患者心动过速虽能暂时终止并恢复窦性心律,但下次的窦性心律仍可诱发心动过速(图3)。 分型 ①持续发作:心动过速持续不间断发作,可长达几个月至几十年;②顽固性、反复间歇性发作:心动过速每次发作持续时间不等,停止后可再次发作。 治疗 药物疗效差,射频消融术疗效显著,并能根治该疾病。 心动过速性心肌病 临床研究及动物实验均已证实,长期持续存在频率较快的心动过速,可造成心脏进行性增大及心功能不断下降,并最终导致合并心衰的心肌病。由于心动过速为其病因,故称为心动过速性心肌病。 常见心律失常类型 ①不良性窦性心动过速;②持续性房性心动过速(房速);③慢性心房颤动、心房扑动;④无休止性交界区反复性或自律性心动过速;⑤无休止性室速等。 诊断标准 ①有无休止性心动过速的长期病史;②有心肌病的临床及形态学特征;③能明确排除其他基础疾病引起的心肌病;④心动过速被有效控制后,心肌病及心功能可完全或部分逆转。 临床类型 ①单纯型:无其他基础心脏病,单纯由心动过速引起;②混合型:同时存在其他基础心脏病及长期心动过速,两者均参与心肌病的发生与发展,形成恶性循环。 鉴别诊断 心动过速性心肌病患儿应与病毒性心肌炎伴心衰及窦速进行鉴别;老年患者应与冠心病、高血压合并心衰及窦速、房速等鉴别。 治疗要点 ①心动过速的治疗同无休止性心动过速;②患者须同时服用心衰治疗药物。 预后 此疾病与其他心肌病一样,当原发病因(心动过速)无法被有效控制时,患者病情进展迅速,预后不良,心功能可急剧恶化,最终死于心衰。当心动过速被有效控制后,患者心肌病进展可被完全遏制,轻中度心衰几乎能被完全逆转,严重心衰可被部分逆转。 (北京大学人民医院 郭继鸿) 来源:中国医学论坛报
请先登录,先评论.