三支冠状动脉严重扩张并心肌梗死两例报告
来源:医心网 发布时间:2006-02-06 11:01
李悦 盛力 李为民 杨树森 周立军 邵群 薛竟宜 初杉 张莉
冠状动脉扩张症(coronary artery dilatation,CAD)是指冠状动脉管径扩大超过邻近正常冠状动脉1.5倍者。有学者把病变范围弥漫性者(长度)7mm)称为冠状动脉瘤样变(coronary artery ectasia,CAE),而把病变范围局限性者(长度〈7mm〉为冠状动脉瘤(coronary aneurysm ,CA)。CAD发病率低,可引起心绞痛,甚至心肌梗死。本文报告两例三支冠状动脉严重扩张并发心肌梗死患者。
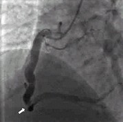
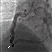
例1,男,47岁,以阵发性心前区疼痛半月入院。大量吸烟史25年,高血压病史5年。查体:心率85次/分,血压150/90mmHg,心尖区可闻及Ⅱ级收缩期杂音。血CHOL5.25mmol/L,TG3.36mmol/L。心脏彩超:左心房内径40mm,左心室舒张末期内径55mm,下壁节段性运动减弱。心电图:Ⅱ、Ⅲ、aVF导联可见病理性Q波,T波倒置。入院后行冠状动脉造影示:三支冠状动脉严重扩张;左前降支(LAD)左回旋支(LCX)前向血流TIMIⅢ级(图1);右冠状动脉(RCA)血流TIMIⅡ级,第二段与第三段反折处可见血栓影(图2)。行冠状动脉内超声(IVUS)示: 三支冠状动脉显著扩张,未见明显动脉粥样硬化斑块,RCA第二段与第三段反折处可见血栓。给予抗凝、抗血小板、转换酶抑制剂、他汀类降脂药物及硝酸酯类药物治疗,患者胸痛症状消失。随访半年,无胸痛症状发生。
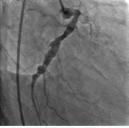
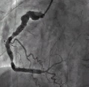
例2,男,40岁,以阵发性胸闷三年,加重一月入院。查体:心界扩大,心率74次/分,心尖区可闻及Ⅲ级收缩期杂音。心电图:V1~V4导联呈QS型,ST段抬高。冠状动脉造影示:LCX、RCA弥漫扩张,前向血流TIMIⅢ级;LAD开口100%闭塞。(图3,图4)。IVUS示:LCX、RCA显著扩张,未见明显动脉粥样硬化斑块。心脏彩超示:左心室前壁节段性运动减弱,心尖段室壁瘤形成;左心房内径39mm,左心室舒张末期前后径70mm;二尖瓣轻度关闭不全,三尖瓣轻度关闭不全;EF:41%。行冠状动脉搭桥手术(CABG)及室壁瘤切除术,术后随访4个月,无胸闷症状发生。
讨论:Lam等观察8641例行冠状动脉造影患者发现,CAD发病率为1.2%,74%为男性患者,RCA受累者占64%,LAD受累者占48%,LCX受累着占43%,LM受累者占2%,单支病变者占62%,三支冠状动脉同时受累者少见。儿童CAD多为川崎氏病后遗症,成人CAD多与动脉粥样硬有关。多发性大动脉炎、马凡氏综合征、白塞氏病或外伤等也参与引起CAD。新近研究发现,CAD患者血浆C反应蛋白和IL-6等炎症介质水平显著增加,提示CAD发生与炎症反应关系密切。另有研究显示,血浆基质金属蛋白酶及其组织抑制剂间的失衡与CAD的形成也密切相关。
该两例患者行IVUS发现,扩张的冠状动脉并无严重动脉粥样硬化,冠状动脉造影显示相对狭窄血管段实际为无明显扩张相对正常的血管段。在血流量固定情况下,截面积越大血流速度越慢,二者呈负相关。该两例患者均为多支冠状动脉严重扩张,血流缓慢,血管内膜相对缺血,导致内皮功能受损,继发血栓形成,可能是该两例患者心肌梗死的主要原因。
尽管CAD病因尚不十分清楚,此类患者治疗应以抗凝、抗血小板及改善内皮功能治疗为主。严重病变者可行外科搭桥手术。
图1
图3 图4
图1:例1冠状动脉造影显示前降支和回旋支显著扩张
图2:例1冠状动脉造影显示右冠状动脉显著扩张,第二段与第三段反折处可见血栓影(箭头指示)
图3:例2冠状动脉造影显示前降支开口100%闭塞,回旋支显著扩张
图4:例2冠状动脉造影显示右冠状动脉显著扩张

请先登录,先评论.