埋藏式心律转复除颤器(ICD)治疗心脏性猝死临床应用进展(2)
来源:医心网 发布时间:2005-09-13 09:32
阜外心血管病医院心律失常诊治中心 华 伟
四, ICD植入技术
(一)经静脉电极导线植入
非开胸电极植入系统目前广泛应用于临床。93年,美国FDA正式批准通过了第三代的非开胸除ICD系统,使ICD的植入量进一步增长。自1994年以来,经静脉单极除颤系统开始在临床应用,进一步简化了手术过程,提高了除颤效果,推动了临床的广泛应用。临床应用结果表明,至少95%的患者采用非开胸ICD系统可以得到满意的除颤阈值。国内自1996年开始应用非开胸ICD系统,发展较快。
目前在临床上应用的非开胸植入ICD系统根据除颤电极的构成大致可以分为两类:
1.以心内线圈电极为主的除颤系统。虽然各个厂家设计有所不同,但右心室的三极感知和除颤电极基本相同,经静脉植入的心内膜三极感知和除颤电极,在此之后为一用于除颤的线圈电极。此线圈电极需与另一电极构成除颤电路。另一除颤电极的设计各厂家有所不同。CPI的Endotak系统在心室感知除颤电极的心房段加设另一线圈电极,构成除颤电路。这些系统在临床应用时,大多数患者可得到满意的除颤效果,但仍有相当一部分患者不能得到满意的除颤阈值,而改用其它非开胸ICD系统或开胸植入ICD系统。
2.单极除颤系统。单极除颤系统是指除颤器外壳本身作为除颤的一个电极,与心内的线圈除颤电极构成除颤电路。该系统具有以下特点:(1)手术操作进一步简化,只需经静脉植入一根三极的感知与除颤电极,将除颤器直接埋于左胸前的皮下或胸肌下,由右心室的线圈电极与左胸前的除颤器外壳构成除颤电路。(2)除颤阈值低,因为除颤器外壳作为除颤电极,大大地增加了除颤电极的面积,从而进一步有效地降低了除颤阈值。
(二)除颤阈值测试
当感知和除颤电极导线固定后,电极与体外除颤测试系统连接进行除颤阈值测定。进行除颤阈值测定时,首先需要诱发心室颤动。室颤的诱发方法有两种,一种为T波电击,即在T波易损期上以低能量电击诱发室颤,另一种方法为50Hz交流电刺激,两种方法均能非常有效的诱发出室颤。虽然除颤阈值的标准各个医学中心有所区别,但大多数医院采用连续两次20J或以下的能量能有效除颤作为成功标准,即除颤阈值等于或低于20J,才可考虑电极与脉冲发生器连接,并将脉冲发生器植入。也有某些医院采用15J作为植入ICD的标准。目前ICD系统最大除颤能量在30~34J,除颤阈值应低于最大的除颤能量10J以上(安全界限),以保证最大能量释放时高于95%的成功率。某些新的ICD系统最大释放能量可达35~40J。可以允许植入ICD时除颤阈值为20~24个J。完成阈值测定后,将脉冲发生器与电极连接,诱发室颤,检验整个ICD系统感知心律失常和除颤功能及效果。
(三)除颤器植入
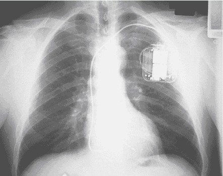
目前临床上应用除颤器均埋藏于患者胸前(图2),作为单极除颤系统的一个极,除颤器必须埋藏在左胸前。ICD胸前植入可埋于肌肉下囊袋或皮下囊袋,视患者胸前皮下组织而定,若患者较瘦,皮下脂肪少,可将ICD埋于肌肉下,对于皮下脂肪较多的患者,可将ICD埋于皮下囊袋。以往的ICD植入手术通常在手术室进行,由于非开胸除颤系统简化了手术过程,目前大多数在导管室进行,由心内科医生植入。
五.双腔ICD
研究表明:埋藏式心律转复除颤器经常会发生误放电,误放电的比例可达27~41%,使植入ICD的患者生活质量下降,而误放电多发生于患者出现室上性的快速心律失常,如心房颤动,心房扑动,室上性心动过速,窦性心动过速等等。因此如何准确地识别室性心动过速和室上性快速心律失常是减少误放电的关键。双腔ICD增加了心房电极导线,可直接记录心房的电活动,为准确识别室上性快速心律失常提供了条件。以Medtronic Gem DR 双腔ICD为例,双腔ICD采用分别心房P波与心室R波的逻辑关系来准确区分室上性与室性心律失常。另外结合心率指标R-R间期规律指标等进一步提高了识别的准确率。
当发生室性心动过速时。P波与R波无固定关系,即房室分离,ICD将通过分析8个心室间期,以及P波活动来确认房室分离,
当出现以下情况时,确认为房室分离:在心室间期内无心房事件,或平均PR间期与前8个平均PR间期不等,差别超过40ms。
应用双腔P-R逻辑分析指标可明显减少不适当地识别导致的误放电,临床研究报道,300例应用双腔ICD患者采用P-R逻辑分析指标,在随访过程发生的1092次心动过速发作中,室速和室颤动识别率为100%。92%的所有发作被准确分类和识别,与单腔ICD单纯应用频率识别指标相比,减少误放电72%,明显的提高了植入ICD患者的生活质量。
研究表明,植入ICD的患者有许多伴有心动过缓,需要双腔起搏治疗,与单腔ICD相比,双腔ICD除了可更准确识别和治疗快速室性心律失常,而且更有效地用于治疗心动过缓。此外,一些病人合并有快速房性心律失常,以及心功能不全,双腔起搏对于这些患者将优于单腔起搏。Higgins等报道了122例植入ICD患者中,有35例(28.7%)符合ACC/AHA I类起搏适应证。Iskos等报道了398例接受ICD治疗患者,随访3年,最终22%患者另外植入了或需要植入双腔起搏器。
Best Study于1999年公布结果,该研究回顾分析了美国Mayo Clinic 253例植入ICD的患者,分析有多少患者需要双腔ICD治疗,其中,11%因心动过缓明确需要起搏治疗(已植入起搏器患者或NASPE I类起搏适应症),约28%患者需要双腔起搏(为NASPE II类适应症,NYHA心功能分级III、IV级),14%为可能需要双腔ICD(有阵发性房颤时,或EF<20%)。因此,约53%的植入ICD患者可能需要双腔ICD治疗,使患者从中受益。因此双腔ICD与单腔ICD相比,有下列优点:
(1) 植入ICD的部分患者中需要心动过缓起搏治疗。
(2) 房室顺序起搏对于心功能不全者可改善或保持心功能。
(3) 基于心房起搏的双腔起搏可防止一些快速房性心律失常发作。
(4) 双腔ICD可以准确识别室上性快速心律失常,减少误放电。
六 三腔ICD
COMPANION临床试验
约30%的心衰患者由于传导系统阻滞导致心脏功能失同步。对于合并QRS增宽的25-30%的严重心衰患者,CRT改善收缩功能并逆转左室重构,两者均为扩张性心肌病(DCM)临床表现的病生理机制;对于缺血性心肌病伴或不伴心力衰竭患者,ICD治疗降低了病死率(MADIT-Ⅱ)。从理论上讲双心室同步起搏+埋藏式除颤器治疗(三腔ICD,图3)可降低心衰患者的死亡率。
2003年3月在美国ACC年会上,由Bristow MR, Saxon LA, BoehmerJ, 等领导的心力衰竭患者药物.起搏和除颤器治疗对比研究COMPANION (COMParison of MedicAl Therapy, PaciNg, and DefibrillatION In Heart Failure)临床试验指导委员会正式公布了COMPANION试验的结果。心脏再同步治疗(CRT)降低慢性心力衰竭患者住院次数,心脏再同步治疗+埋藏式除颤器(CRT+ICD)可降低病死率。
COMPANION主要入选标准:NYHA分级Ⅲ或Ⅳ;NSR, QRS≥120ms, PR间期>150ms;LVEF≤35%, LVEDD≥60mm;适宜的药物治疗;包括Β阻滞剂(至少3个月),利尿剂,ACEI/ARB。
主要终点:死亡或距再次入院时间(均包括所有原因)。再入院定义:除为行CRT或CRT-ICD治疗外所有原因入院者;包括在急救室使用血管活性药物治疗失代偿性心衰超过4小时。
次要终点:所有原因的病死率,心脏疾患患病率,极量运动试验(亚组研究)。
首例患者于2000/1/24入选。入选患者1520例,随机分为药物治疗,双心室起搏治疗(CRT),双心室起搏+除颤器(CRT+ICD)治疗三组,进行前瞻性随访。2002/11/18研究管理委员会认为:研究已达到主要终点事件(~1000)的靶目标数,中位随访时间16个月。对于主要终点事件(CRT与CRT-ICD组),以及病死率(CRT-ICD组)已接近或超
出预定的有效性监测界限。建议终止病例入选,并于02/12/1停止有效性随访。
COMPANION初步研究结果
• CRT与CRT-ICD均可减低联合终点事件(总死亡率,及或心衰入院率)
• CRT治疗使病死率呈下降趋势(12月率降低24%)
• 联用ICD与CRT治疗使病死率进一步下降,导致后者明显降低(12月率降低43%)
• CRT-ICD组中,缺血性与非缺血性心肌病患者病死率无明显差别
七.ICD防止心脏性猝死效果评价
1· ICD与抗心律失常药物
(1)AVID试验。以往与安慰剂对照的临床研究已证实胺碘酮可有效地改善心肌梗塞后室性心律失常患者的生存率。虽然ICD已在临床证实可防止心源性猝死的发生,但一直没有随机的大规模临床试验来比较是否ICD治疗优于抗心律失常药物。1993年由美国国立心肺血研究所组织了50个美国和加拿大的医学中心开展了抗心律失常药物与埋藏式除颤器(Antiarrhythmics Versus Implantable Defibrillation,AVID)的临床试验。试验目的是比较对于室颤或只有血液动力学改变的顽固性室速患者应用ICD与抗心律失常药物胺碘酮或索他洛尔(sotalol)相比,是否可降低总死亡率。
1993年进行了预试验,1994年开始正式试验,共有1016例患者进入研究,入选试验的患者条件:(1)发生过VF。
(2)发生过VT伴晕厥。(3)VT无晕厥但EF<0.4以及收缩压<80mmHg,接近晕厥患者。试验随机分为两组,一组应用抗心律失常药物胺碘酮或索他洛尔,另一组应用非开胸ICD系统。经过三年的前瞻性随访, AVID临床试验于1997年宣告结束,并公布了结果:507例患者被分配接受植入型除颤器治疗,有509例患者被分配接受抗心律失常药物治疗,结果:与抗心律失常药物组(122例死亡)相比,接受除颤器治疗的患者在整个的研究过程中具有较好的生存率,这些生存率的数字代表了在一年、二年和三年死亡率分别降低(95%的可信限)39±20%;27±21%和31±21%。由植入型心脏复律除颤器发出抗心动过速起搏和电击室性心动过速患者中比心室颤动患者更常见。接受除颤器治疗包括抗心动过速起搏或电击的累积病人百分比如下:对于室性心动过速患者,3个月时为36%,一年时为68%,两年时为81%,三年时为85%;对于心室颤动患者则分别为15%、39%、53%和69%(P<0.001,室速患者对室颤患者。
总之,埋藏式心律转复除颤器与抗心律失常药物(胺碘酮或索他洛尔)相比,第一年可降低总死亡率39%,第二年和第三年可降低总死亡率27%和31%(图4)。结论:对于致命性室性心律失常患者,ICD应作为首选治疗。
(2)MUSTT(多中心非持续性心动过速试验)。目的是比较电生理指导下的抗心律失常药物与ICD治疗效果。1999年发表结果。共有美国,加拿大85个医疗中心参加,入选患者2 202例,入选标准为冠心病非持续性室性心动过速,EF<0.4患者。经过电生理检查诱发出持续性室性心动过速患者704例,随机分为电生理指导下的抗心律失常药物治疗,和非电生理指导下的药物治疗及ICD治疗。结果:平均随访39个月,与电生理指导下和非电生理指导下的抗心律失常药物治疗相比,对于冠心病非持续性室性心动过速,EF<0.4患者ICD可降低心律失常死亡率73%~76%,降低总死亡率55%~60%,但电生理指导下的抗心律失常药物治疗不能改善生存率。
2·预防性ICD治疗
1996年5月在北美心脏起搏与电生理年会上,Moss教授介绍了MADIT试验的初步结果,引起了很大反响。MADI试验,即多中心埋藏式自动除颤器试验(Multicenter Automatic Defibrillator Implantation Trial)的主要目的是观察冠心病、室性心律失常(非持续性室速)患者,应用ICD进行预防性治疗,与传统的抗心律失常药物比较是否能降低总死亡率。进入研究患者的选择标准为(1)心肌梗塞后3周以上,(2)有非持续性室速史,(3)EF<35%。共有196例患者进入试验。随机分为两组,一组为应用ICD治疗,另一组应用抗心律失常药物治疗,包括胺碘同酮,B阻滞剂,IA类抗心律失常药物和索他洛尔,药物选择由医生自行决定。结果平均随访32个月中,药物治疗组总死亡率为39%,ICD治疗组为16%,比药物治疗组降低了54%。结论,心肌栓塞后高危患者应用ICD预防性治疗,与传统的抗心律失常药物治疗相比,可显著降低死亡率。此试验结果公布以来,一直引起很大争论,是否应该应用ICD对于心肌栓塞后高危患者进行预防性治疗,尚难下定论,因为MADIT试验毕竟病例数量较小,因此还需要进行大规模临床试验来验证此结论。此外,ICD治疗价格昂贵,对心肌栓塞后高危患者常规应用ICD预防治疗,目前不太现实。
从目前临床情况出发,特别是从AVID试验结果得到的启示,对于致命性室性心律失常患者,ICD优于抗心律失常药物,应作为治疗的首选。随着ICD技术的不断发展,功能的不断完善,ICD的治疗适应征也将不断扩宽。
3. 充血性心力衰竭患者猝死的预防
MERIT-HF试验中不同NHYA分级患者的死因分析表明,近一半的心衰患者死于心律失常,因此ICD对心衰患者而言非常重要。心衰患者是否需要植入ICD主要参考发生SCD的危险分层以及患者的整体状况和预后,最终结果要因人而异。重度心衰患者的预期存活时间和生活质量不高,ICD可能不是最佳治疗策略。
MADIT-Ⅱ试验
心肌梗塞后左心室功能不全的患者具有充血性心力衰竭以及心律失常相关猝死的危险。研究者推论,既往发生心肌梗塞及左室功能不全的患者,瘢痕组织可能是一个重要的恶性室性心律失常的触发因素。多中心自动除颤器植入试验Ⅱ是设计评价既往心肌梗塞伴有左室射血分数少于0.30的患者预防性植入除颤器(不进行电生理检查诱发心律失常)潜在改善生存率的效果。
试验于1997年7月11日开始,入选患者来自76个医学中心(其中71个在美国,5个在欧洲)。
病人入选标准:
患者年龄>21岁(无年龄上限);进入研究之前一个月或更长时间发生过心肌梗塞(通过发现心电图异常Q波,疑诊心肌梗塞住院期间实验室检查心肌酶水平升高,铊扫描有固定缺损,或心室造影有局限性运动障碍及血管造影术证实有阻塞性冠状动脉病变);入选试验前三个月内左室射血分数<=0.30(通过血管造影术,放射性核素扫描或超声心动图检查评价).潜在合格的入选病人由当地的心血管专科医生,内科医生及家庭医师提供。入选患者不需要进行电生理检查诱发室性心律失常。
病人提供书面知情同意书后,在获得基本病史,12导联心电图,以及体格检查后,被随机按3:2比例分配接受植入式除颤器治疗或常规药物治疗。
试验终点为:各种原因引起的死亡。
结 果
入选患者共1232例。平均随访20个月(6天—53个月)。在最后随访时间两组患者的基础特点及心血管用药是相似的.试验中,共有8749次按时间表随访,常规治疗组94%,除颤器组97%。
应用Kaplan和Meier评价两组间生存率,两条生存曲线在大约9个月时开始分开,此后持续分离( p=0.007)。这些生存曲线提示除颤器治疗后死亡率减少。第一年减少12%,第二年减少28%,第三年减少28%。
此项研究提示植入除颤器可改善既往心肌梗塞后左室射血分数<=30%患者的生存率。与常规药物治疗相比,除颤器治疗可减少31%的死亡危险性。电生理检查或诱发室性心律失常并不作为本试验入选标准。此次试验显示植入除颤器可以改善既往心肌梗塞伴左心室功能不全患者的生存率。因此,预防性植入除颤器在这些病人中是值得推荐的。
SCD-HeFT临床试验
2004年3月,具有里程碑意义心力衰竭心脏性猝死试验(Sudden Cardiac Death in Heart Failure Trial SCD-HeFT)的结果公布,显示埋藏式心律转复除颤器(ICD)治疗能延长心功能不全患者的寿命。本研究共收入2,521名患者,是目前最大规模的ICD临床试验。
其结果显示,中度心功能不全患者,接受ICD治疗的死亡率较未植入ICD下降23%。NIH研究显示对于有心脏性猝死危险的患者应给于更积极的诊断和治疗。本试验也提示作为预防性用药,胺碘酮不能提高生存率。”
SCD-HeFT是一个安慰剂对照,分三个亚组的试验。1997年开始收入患者直至2001。研究ICD和抗心律失常药物对中度心功能不全(纽约心脏病协会心功能分级Ⅱ-Ⅲ级)伴有左心室泵功能损害患者的疗效。研究中1/3的患者接受了由Medtronic公司提供的ICD,1/3的患者接受用于控制快速心律失常胺碘酮的治疗,1/3患者接受安慰剂治疗。所有的患者都给于了合适、可耐受的心功能不全药物治疗,例如ACE抑制剂、β受体阻滞剂、利尿剂、statins和阿斯匹林。
八.未来ICD的发展
80年代初只有一个ICD生产厂家,生产简单的仅有除颤功能的ICD。到80年代末已有5个生产厂家生产高技术、多功能的ICD,新一代的ICD系统将诊断与治疗功能结合起来,使之更有效地在临床应用,它已在临床应用。目前许多厂家积极开发更先进的除颤电流波形技术(例如双相、4相脉冲波形)和电流释放系统(双向释放、顺序释放)等,将进一步简化ICD植入手术、减少电击能量、提高除颤效果,并可进一步减少电池和脉冲发生器体积。脉冲发生器的体积减少将使安装过程进一步简化,使脉冲发生器更易埋于胸前。降低除颤阈值、延长电池寿命也可有意义的降低植入ICD的费用,而费用昂贵是影响ICD系统广泛应用的重要因素。
未来ICD将朝着多功能方面发展,从目前单一室性快速心律失常治疗向各种心律失常,包括快速室性、房性心律失常、缓慢心律失常,心功能衰竭等多种治疗发展。这种多功能治疗仪,心内电极导线,将增至3~4根,成为3腔或4腔ICD。对于心功能衰竭伴有室内阻滞患者,可应用双心室3腔ICD(CRT-D),既可治疗心律失常,又可双心室同步起搏改善心功能。此外这种多功能治疗仪将装有药物自动释放系统,可预防房性,室性快速心律失常的发生,以及辅助治疗心力衰竭。这种仪器在心腔内的导线上装有监测装置,可自动感知室性早搏和测算心率变异,当出现频发室性早搏或心率变异性减低时,它将自动在心腔内释放抗心律失常药物,防止室性快速心律失常的发生。此外,它在心腔电极上装有测量心腔内压力和心肌阻抗的装置,当心功能恶化,它将自动释放利尿剂、强心剂和扩血管药物等,对于长期抗凝服用华法令的患者,它将自动定期测算体内的凝血状态,并自动释放高效华法令。上述很多技术实际上已经处在实验研究和临床研究阶段,有望在不远的将来应用于临床。
图1 ICD识别心室颤动,自动释放15J高能量除颤成功。
图2 经静脉植入ICD后的X片影像。
图3 三腔ICD示意图。
图4 AVID试验ICD组和药物治疗组的1、2、3年累积存活率。

请先登录,先评论.