慢性闭塞病变介入治疗进展
来源:医心网 发布时间:2007-08-07 15:50
复旦大学附属中山医院 上海市心血管病研究所 葛均波
慢性完全闭塞病变(CTO)一直是冠脉介入治疗的难点,不仅仅是因为其手术成功率低,更主要是因为其再狭窄率和再闭塞率较高。近年来,随着介入技术和器械的改进,慢性完全闭塞性病变介入治疗的成功率和远期预后明显改善。另外,近年来介入技术的提高也使介入治疗成功率提高的同时,并发症明显减少。
一、CTO病变PCI治疗技术进展
病变节段闭塞时间、闭塞段长度、闭塞段血管的形态、闭塞血管附近是否存在分支血管以及是否形成桥侧支血管等因素在一定程度上影响了CTO病变介入治疗的成功率,过去数年经验的积累和器械的改进对保证CTO介入治疗的成功起了重要作用。
1.对侧冠脉造影和多角度投照非常重要。为了减少投照盲区,多采用两个相互垂直的投照角度,对侧冠脉造影可以有效地指引导丝前进方向,避免血管穿孔。
2. 新型同轴指引导管的选择和子母导管(5F in 6F catheter)可以加强支撑力,保证球囊通过闭塞病变。
3.合适导丝的选择,尤其是Asahi生产的Miracle系列导丝和Terumo的CrossWire NT导丝大大提高了通过病变的能力。VentureTM导管、Transit微导管、多功能导管或OTW 球囊和栓锚技术(Anchor Technique)帮助导丝及球囊导管通过CTO病变。
4.如果导丝不能找到真腔,平行导引钢丝技术、多导丝技术、跷板导引钢丝技术可增加发现真腔的可能。
5.在前向导丝不能找到真腔时,如果侧支循环血管较大,可以通过逆向导引钢丝对吻技术。要指出的是,逆向钢丝对吻技术一般能较容易地通过闭塞(可能闭塞远端的机化与近端不同),但是往往需要微导管支持。
6.在钢丝不能确定在血管真腔时,可以在 IVUS指导下寻找真腔;如果闭塞发生在血管分支附近,也可以在IVUS指引下穿刺斑块寻找真腔。
7.近年来,一些CTO介入治疗新器械如FrontRunner系统、Safe-Cross系统、CROSSER系统、TransAccess 导管等应用于临床,为CTO的介入治疗提供了新手段,但是这些新器械并没有明显提高成功率和减少并发症,而且掌握较困难,尚没有得到临床广泛应用。
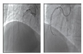
对侧冠脉造影在观察导引钢丝是否到达真腔和决定介入治疗方案时至关重要,CTO介入治疗之前仔细分析病史和观察冠脉造影有助于术者选择最佳的介入治疗方法,预测可能出现的问题及选择相应的处理措施。在CTO介入治疗中,通过对非闭塞血管造影,利用侧支血管灌注闭塞远段血管观察整个闭塞血管非常重要。尽管我们不需要对所有的CTO病变进行对侧冠脉造影,但是该方法对判断闭塞远端血管形态、闭塞段长度、闭塞血管的大致走向和导引钢丝前进方向正确与否起着非常重要的作用(图1)。
如果导引钢丝不能通过病变,而对侧侧支循环较好的情况下,可以试图经对侧侧支循环逆向通过闭塞远端通过病变,或者即使逆向导丝不能完全通过病变而通过双侧钢丝对吻技术也可完成介入治疗(图2),该方法又称为逆向钢丝对吻技术 (Retrograde wire kissing technique)。该技术通常选用直径大于1mm的侧支血管,在放置导引钢丝之前,应冠脉内给予硝酸甘油,然后选择亲水涂层导丝,小心通过侧支血管进入闭塞血管远端。必须指出的是因侧支血管血管壁较薄,导引钢丝操作不当则有可能发生血管穿孔。
有时钢丝通过病变后不能确定其走行在真假腔,或者钢丝不能找到真腔,此时可以在IVUS指导下穿刺内膜,确定真腔走向(图3)。


二、CTO病变PCI治疗疗效进展
药物洗脱支架在非闭塞性病变中显著降低了再狭窄发生率,为数不多的小规模回顾性分析资料也表明药物洗脱支架在慢性闭塞病变中有较好的疗效。Suttorp医生报道了雷帕霉素药物洗脱支架在慢性闭塞病变随机研究PRISON II (Primary Stenting of Occluded Native Coronary Arteries)的结果。
PRISON II研究的主要目的是比较雷帕霉素药物洗脱支架(CypherTM,Johnson & Johnson)和普通金属支架在慢性闭塞病变应用的疗效。该研究为两个中心参与的前瞻性单盲随机研究。200例患者随机分组为雷帕霉素涂层支架组(SES)(n=100)和普通金属支架组(BMS)(n=100)。两组患者中有44%和46%的病变其闭塞时间大于3个月。研究结果表明两组患者1个月内严重不良心脏事件(MACE)发生率无显著差异(SES组1%,BMS组4%),而在6个月时SES组MACE发生率显著低于BMS组(4% vs. 20%, P<0.001),其中靶病变血运重建率在SES组为4%,而在BMS组则高达19%(P=0.001)。冠脉造影随访发现SES组的晚期管腔丢失为0.05mm,而BMS组则高达1.09mm。SES组支架内和节段内再狭窄发生率显著低于BMS组(支架内再狭窄:7%vs. 36%, P<0.001;节段内再狭窄:11% vs. 41%, P<0.001),与普通支架组相比,SES组再狭窄发生率相对降低73%~81%。SES组患者再闭塞发生率也低于BMS组(4% vs. 13%, P<0.04)。在整个研究期间,SES组有一例患者出现亚急性支架内血栓,一例患者出现晚期血栓。而BMS组则无血栓形成事件。最后,Suttorp医生总结出:与普通金属支架相比,雷帕霉素涂层支架可以显著降低支架内和节段内再狭窄发生率,并且显著降低靶病变和靶血管血运重建率。最近Migliorini的一项观察性研究也有相同发现,要指出的是小血管闭塞以及弥漫性病变需要多个支架或长支架植入,其再狭窄率仍然较高.

请先登录,先评论.