继发性冠状动脉瘘“从何而来”?
发布于:2008-01-04 09:13
来源:中国医学论坛报 美国韦恩州立大学医学院 Rudraiah等
病例摘要
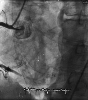
一例63岁男性因“气促”入院。既往有高血压、卒中和酒精滥用史。入院时心率120次/分,颈静脉充盈,第一、第二心音规则,胸骨左缘可闻及Ⅲ~Ⅳ级全收缩期杂音,吸气时增强。超声心动图提示弥漫性左室运动功能减退,室间隔远端节段性无运动。LVEF为30%。心导管检查未显示冠脉闭塞,而发现在RCA和右室之间存在一处2 mm长的瘘道(如图)。
讨论
CAF可继发于外伤或侵入性心脏操作。CAF起源多见于RCA(55%),其次为左冠状动脉(35%)。45%的CAF进入右室,其次为右房(25%)、肺动脉(15%~20%)和冠状窦(7%)。左室为最常见的引流腔。
对有症状的CAF患者应早期干预治疗。对无症状、但可闻及连续性杂音,或收缩期伴舒张早期杂音的患者,应手术闭合瘘道。
本例患者的CAF形成可能为心肌组织缺氧激活内皮细胞,使之释放血管生成因子、血管生成素-1等,从而导致血管新生。 [Int J Cardiol 2008,123(2):e40]
下一篇:异常Q波另有“隐情”
相关文章:



京公网安备 11010102002968号