【医心评论】导管引起夹层合并心包积血一例
发布于:2015-07-30 16:57
文 / 李伟明 上海市第十人民医院
李伟明 上海市第十人民医院;主任医师,医学博士,硕士研究生导师,心血管内科副主任,兼任心内一区(冠心病亚学科)病区主任。中国医师协会指南和专家共识工作委员会委员兼学术秘书,上海市医学会医疗鉴定专家库成员,上海市中西医结合学会介入医学专业委员会委员,卫生部海峡两岸医药交流协会心血管和中西医结合专业委员会委员,中国老年保健协会心血管分会委员。目前主攻冠心病介入诊治和优化PCI,已完成冠脉支架术5000 余例,IVUS 近200 例,FFR 和/ 或OCT100 余例,心脏起搏器植入术600 余例。在核心期刊发表论文80 余篇,其中SCI 收录论文26 篇,以第一作者和通讯作者发表SCI 文章7 篇,参编著作5 部。
病例资料和诊断
患者,女,69 岁,因阵发性房颤射频消融术后1年,再发心悸胸闷1 月,疑诊“冠心病”收住院。危险因素包括高血压20余年,最高血压达180 mmHg/100 mmHg,平时服用络活喜,血压控制尚好。腔隙性脑梗塞10 余年,服用阿司匹林。
体检结果显示BP 130 mmHg/80 mmHg,律齐,70 bpm,肺腹阴性,下肢无浮肿。血生化检查结果显示PT 11.2 s,INR 0.88,D-Dimer 0.23 mg/L;GPT 12.4 IU/L;TP 63 g/L,A 40 g/L,G 23 g/L,BUN 5.5 mmol/L,Cr 53.9 umol/L,Uric acid 258.2 umol/L,FPG 5.4 mmol/L。TC 5.08 mmol/L,TG 1.35 mmol/L,HDL-C 1.12 mmol/L,LDL-C 3.32 mmol/L;Na+ 140 mmol/L,K+ 4.02 mmol/L,CL- 105 mmol/L。hsTrop-T 0.007 ng/ml,Myosin 21.0 ng/ml,CKMB 0.84 ng/ml。Pro-BNP 95.8 pg/ml。心电图检查:窦性心律,55 bpm(见图1)。
入院诊断结果为冠心病 (CHD);高血压,3 级,很高危;阵发性房颤(AF),射频消融术后。
治疗经过
入院后经完善术前相关准备工作,然后进行冠脉造影(CAG),结果显示RCA左室支开口95%局限性狭窄( 图2),而左冠状动脉血管扭曲,弥漫性动脉硬化,但未见明显狭窄(图3)。

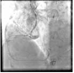
针对RCA远段局限性高度狭窄,计划即刻支架术。术者选择6F SAL1.0 指引导管,两根“0.014”BMW导丝分别抵达后降支和左室支,不过导丝进入后降支十分顺利,而导丝进入左室支则十分困难,最后破费周折才进入,不过即刻造影却发现RCA开口和近中段严重的螺旋形夹层,远段血流也明显减慢;而且夹层明显累及主动脉根部,并可能出现局部血肿(图4),考虑系导丝操作时指引导管反复进出、助手推注对比剂过分用力等所引起。




图7 RCA 中段支架以16 atm 顺利释放(左),中段夹层出口被封闭;心包积血未见增加(右)
支架术后密切随访观察患者的生命体征和心包积血情况,病情始终稳定,心包积血不再增加(图8~10)。术后大约半小时,患者病情稳定,安全返回CCU,继续观察。术后2.5 h、3.5 h,患者重要生命体征均稳定,ECG未见其它异常改变(图11~12)。术后一周患者出院,门诊继续随访。

讨论
在PCI手术过程中,冠状动脉夹层是并不少见的严重并发症,个别患者甚至发生死亡。由于RCA特殊的解剖结构因素,RCA夹层在PCI中更为多见。本例RCA PCI病例,在进行导丝置入过程中即出现严重夹层并累及主动脉根部,这与术者的操作、助手的配合有一定的关联,诸如导丝和指引导管的相向运动引起指引导管被动深插、指引导管主动深插、指引导管与冠脉的同轴性、推注对比剂用力过度等。因此术者在围手术期间一定要格外小心,要密切注意指引导管开口的位置、方向等因素。
PCI术中出现类似冠脉严重夹层并累及主动脉根部,其危害主要在于可能引起冠脉急性闭塞、主动脉根部乃至升主动脉夹层动脉瘤,并可能累及对侧冠脉开口引起急性闭塞,甚至导致猝死。因此建议,指引导管一旦引起RCA开口严重夹层并累及主动脉根部,RCA 支架术后,务必重复左冠窦和LM 的造影,以明确主动脉夹层是否已经累及LM 开口部位。一旦有累及的迹象,务必主动积极地在LM 先置入一枚支架,以免引起左冠脉急性闭塞乃至猝死。
分析该患者引起冠脉夹层之际合并出现心包积血的原因,可能有以下几方面的因素:1. 多数夹层的起源有内膜的裂口,与主动脉腔相通,夹层血肿破裂至心包腔可导致心包积血;2. 部分病例外膜破裂而引起大出血,出血容易进入心包腔内;3. 导管累及冠状动脉窦,一旦撕裂,即可引起心包积血。
心包积血乃至引起心包填塞,则必须当机立断进行心包穿刺和引流。本例患者心包积血即刻被发生,而且量也不大,因此没有采取心包穿刺,而是采取早期的冠脉夹层开口的封堵。之后的随访也未发现心包积血增加,因此也没有采取心包穿刺的措施。类似夹层一旦出现,一定要当机立断,首先选择大小合适、长度得当的冠脉支架覆盖冠脉近段的撕裂口。冠脉内血肿如果尚未引起冠脉完全闭塞,则可采取保守疗法,随访观察3 个月;如果已经明显累及冠脉的血流动力学,则可采取切割球囊先处理病变,然后考虑置入支架,以完全恢复冠脉血流。
来源:《医心评论》2015年02期



京公网安备 11010102002968号