病例报道:钙化结节上的可降解支架
发布于:2015-11-27 13:53
近期JACC:CARDIOVASCULAR INTERVENTIONS杂志上刊登了 Kawakami 博士等提供的病例,介绍了钙化结节上的可降解支架,结果患者因心衰死亡。
患者为 70 岁老年女性,因心源性休克入院,入院 1 周后死于心衰。患者有 12 年血液透析史,两月前在左前降支植入了可降解聚合物 Biolimus 洗脱支架。行血管内超声、OCT、和冠脉造影检查,并做了冠脉活检。在支架植入区血管内超声显示有低回声团块(图 1A),OCT 显示向后衰减的散射信号(图 1B),冠脉造影显示淡黄色不均一扩张(图 1C)。几乎看不见新生内膜,可见支架。

图 1:A 白色箭头显示支架后面有低回声影;B 白色箭头显示向后衰减的散射信号;C 显示淡黄色不均一扩张
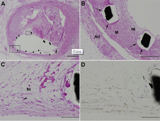
图 2:A 黑框显示支架旁的钙化团块;B 黑色箭头显示钙化团块接近正常血管壁外膜;C 显示疏松结体组织;D 显示 α 平滑肌阳性的梭行平滑肌细胞
组织学检查发现支架覆盖在一钙化结节上(图 2A)。血管中膜存大量坏死物质,支架植入后接近破裂(图 2B)。大部分支架表面覆盖有新生内膜和疏松结蹄组织(图 2C),可见有 α 平滑肌纤维阳性的棒状细胞(图 2D)。靶血管钙化会抑制支架扩展,介入处的钙化有时会造成血管破坏,故应该避免在钙化结节上放置支架。
来源:丁香园
相关文章:



京公网安备 11010102002968号