药物洗脱球囊治疗DES再狭窄后再次发生狭窄2例
发布于:2014-04-29 16:09
文 / 杨伟宪 国家心血管病中心 阜外心血管病医院
杨伟宪 国家心血管病中心阜外心血管病医院;博士,心内科副主任医师,主要从事冠心病介入治疗及相关研究。
病例1
病史简介:
患者:男性,59岁,藏族。以“冠心病,陈旧性下壁心肌梗死,PCI治疗术后”2006年11月,2012年2月和2013年2月三次收入我院。既往高脂血症病史。
患者于2006年5月因“急性下壁心肌梗死”于当地医院急诊造影显示右冠100%闭塞,置入雷帕霉素药物洗脱支架(SES)2枚,未串联。半年后,2006年11月来我院复查冠脉造影,右冠支架内50%狭窄,予药物治疗。
2009年5月,患者发作活动时胸痛,于当地医院冠造右冠支架内重度狭窄,于原来的2枚支架之间再次置入1枚SES。
2011年11月患者再发“急性下壁心肌梗死”,于当地医院急诊造影右冠支架内100%闭塞,予血栓抽吸,冠脉前向血流恢复。
2012年2月患者因再发活动时胸痛第二次住我院。
体检:
血压110/70 mmHg,心率 60 次/分,律齐,心前区未闻及心脏杂音,余(-)。
超声心动图:左室下壁节段性运动异常,LVEF 65%。
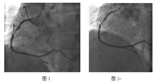
冠脉造影:右冠支架内再狭窄90%(图1)。
患者:男性,59岁,藏族。以“冠心病,陈旧性下壁心肌梗死,PCI治疗术后”2006年11月,2012年2月和2013年2月三次收入我院。既往高脂血症病史。
患者于2006年5月因“急性下壁心肌梗死”于当地医院急诊造影显示右冠100%闭塞,置入雷帕霉素药物洗脱支架(SES)2枚,未串联。半年后,2006年11月来我院复查冠脉造影,右冠支架内50%狭窄,予药物治疗。
2009年5月,患者发作活动时胸痛,于当地医院冠造右冠支架内重度狭窄,于原来的2枚支架之间再次置入1枚SES。
2011年11月患者再发“急性下壁心肌梗死”,于当地医院急诊造影右冠支架内100%闭塞,予血栓抽吸,冠脉前向血流恢复。
2012年2月患者因再发活动时胸痛第二次住我院。
体检:
血压110/70 mmHg,心率 60 次/分,律齐,心前区未闻及心脏杂音,余(-)。
超声心动图:左室下壁节段性运动异常,LVEF 65%。
冠脉造影:右冠支架内再狭窄90%(图1)。

介入治疗:
JR4.0指引导管,BMW导丝,预扩张球囊Fire Star 2.5mm x 15mm,最大20atm扩张;双导丝球囊Score Flex 3.5mm x 15mm,最大16atm扩张(图2);后扩张球囊Sapphire NC 3.75mm x 15mm,最大10atm;紫杉醇药物洗脱球囊(PEB)Sequent please 3.5mm x 20mm,最大18atm扩张,持续60s(图 3)。最终效果满意(图 4)。

一年后,2013年2月患者再次出现活动时胸痛,特别是在高原地区。第三次住我院,复查冠脉造影:右冠支架内PEB治疗部位再狭窄80%(图5)。本次介入治疗于右冠支架内狭窄部位经球囊预扩张后置入XienceV支架 3.5mm x 23mm, 最大16atm扩张(图6),并用后扩张球囊Quantum 3.5mm x 15mm, 最大24atm 扩张,最终效果满意(图7)。


该患者始终按医嘱坚持药物治疗,此后半年的临床随访无不适主诉。
病例2
病史简介:
患者:女性,62岁。主诉“发作性胸痛,大汗,伴晕倒1次”于2010年6月在当地医院冠造提示前降支近端50%狭窄,回旋支中段60%狭窄,右冠中段75%狭窄,并于右冠狭窄部位成功置入SES支架2.75mm x 23mm一枚。既往高血压病,高脂血症,糖代谢异常,糖化血红蛋白6.3%。
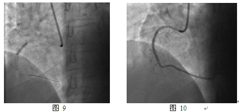
2012年3月发作活动时胸痛,休息可缓解,第一次住我院。入院查体无特殊阳性发现。超声心动图:静息状态下心内结构功能未见异常,LVEF 65%。冠脉造影:右冠支架内再狭窄80%(图8)。同期介入治疗,球囊Fire Star 2.5mm x 15mm预扩,最大14atm,PEB球囊Sequent Please 2.75mm x 15mm, 最大10atm扩张,持续45s(图9)。最终效果满意(图10)。


10个月后,患者再次出现活动和安静时胸痛,2013年1月再次住我院。复查冠造,右冠支架内原PEB治疗部位再狭窄80%(图11),再次进行PCI治疗,球囊预扩张后置入Firebird 2支架3.0mm x 18mm,效果满意(图12,13)。术后患者坚持药物治疗,半年临床随访无不适。
讨论
与金属裸支架(BMS)相比,药物洗脱支架(DES)显著降低了支架内再狭窄的发生率。Cassese等2013年在Heart上发表的DHZ再狭窄注册研究显示, 从1998年到2009年,BMS(1998~2002),第一代DES(2002~2005),新一代DES(2006~2009),10 004例患者进行了冠脉造影随访,支架内再狭窄发生率分别为30.1%,14.6%和12.2%。提示随着支架技术的进步,支架内再狭窄的发生率显著下降。图14显示2008年到2013年的一些随机对照研究(RCT)9~12月临床随访显示支架再狭窄的发生率更低,2.0%~5.9%。但是,目前对于DES再狭窄的介入治疗还没有指南,大多通过支架内球囊扩张成形术,或再次置入支架(同种药物或不同药物的DES),或药物洗脱球囊(DEB)进行治疗。

DEB治疗支架内再狭窄的疗效已经得到肯定。本病例报告中的DEB,Sequent Please球囊表面带有紫杉醇药物,当球囊扩张病变时,药物被释放到血管壁内,抑制再狭窄的形成。在治疗BMS再狭窄的研究中,Paccocath ISR I&II 提示DEB疗效,支架节段内晚期管腔丢失(LLL)和TLR优于普通球囊扩张成形术。2010年ESC/EACTS指南中将DEB治疗BMS再狭窄推荐为IIa类适应症(B级证据)。2014年RIBSV研究结果提示,治疗BMS再狭窄,DEB和依维莫斯药物洗脱支架(EES),尽管EES在术后即刻和平均249天造影随访,平均最大管腔内径,最大管腔获得和直径再狭窄略优于PEB,但是1年的复合终点包括无死亡率,心梗和TVR,以及TVR两组无显著差异,提示两者在治疗BMS再狭窄方面均有出色表现,并且发生再次狭窄的比率低。在De novo病变治疗中,PEPCAD-ISVD提示LLL和二次造影再狭窄率DEB疗效优于DEB+BMS;PEPCAD III提示DEB+BMS疗效不优于SES。在SES再狭窄的治疗中,2011年Habars等对50例患者随机分组,比较PEB与普通球囊扩张的疗效,结果PEB组在LLL,再狭窄率和TLR均优于对照组;ISAR-DESIRE 3研究比较了PEB,紫杉醇药物洗脱支架(PES),普通球囊扩张治疗limus DES再狭窄的疗效,提示PEB与PES的疗效相似,并且均优于普通球囊扩张。
尽管采用普通球囊扩张,DEB或DES治疗支架内再狭窄有效,仍有一些患者反复发生再狭窄,据统计DES治疗后仍有20%可能发生再次狭窄;DEB治疗后仍有约10%发生再狭窄。其原因并不明确。大多数认为与血管壁平滑肌增生,向内膜迁移,或是血管壁对支架及DES的聚合物的反应有关。近年来发现新生的动脉粥样硬化也是支架内再狭窄的重要原因。更确切的机制仍在探索中,更新的治疗方法也在摸索中。
注:感谢乔树宾教授,胡奉环主任的手术病例,感谢徐波主任和许亮提供病例资料。
来源: 医心评论



京公网安备 11010102002968号