病例大赛入围作品展—CT引导下治疗闭塞分叉病变
发布于:2017-06-19 09:48
CT指导开通CTO是一个非常令人惊喜的治疗手段,是对正向开通非常有意义的指导。本病例被王海昌教授评作“可遇不可求”。通过此病例也可以看出,CT指导的确能够发现很多疑端,通过仔细阅片,可能会有重大发现,对于手术策略的选择产生意想不到的指导效果。
讲者/张华巍 解放军总医院心血管内科
入院基本情况
患者:女,27岁,未婚,2016-4-25 19:29入院
主诉:间断胸闷、胸痛4年,加重4月。
现病史:患者4年前出现快步行走后胸闷、胸痛,以心前区为主,伴有上腹部隐痛,停下休息1分钟即可缓解。近4月来,活动、饱餐后或提重物时即感胸闷、胸痛,向背部放射,休息1分钟后可缓解。
既往史:8岁时曾患“血小板减少性紫癜”,治愈后血小板正常。
个人史:无吸烟史,无饮酒史,未婚未育。
家族史:父母健在,母亲51岁,有“冠心病 冠脉支架植入术(41岁时植入冠脉支架)”史,父亲52岁,有高血压病史,有1姐,体健。
入院查体
身高:164cm,体重:49kg,BMI:18.2。
查体:体温:36℃,脉搏: 67次/分,呼吸:18 次/分,血压:106 /78 mmHg。
营养正常,发育正常,心率67次/分,律齐,心肺查体未见异常。腹软,无压痛及反跳痛,肝脏未触及,脾脏未触及。双下肢无明显水肿。
检查检验结果
血常规、血生化、凝血、甲功正常范围;
红细胞沉降率 12mm/h ,CRP正常;
全血糖化血红蛋白 5.3%;
风湿免疫指标均在正常范围。
双侧锁骨下动脉、劲动脉未见狭窄;
双侧肾动脉未见狭窄;
双髂动脉、下肢动脉未见狭窄;
心脏大小正常,瓣膜功能良好,EF:61%。
外院心脏CT:前降支,回旋支闭塞
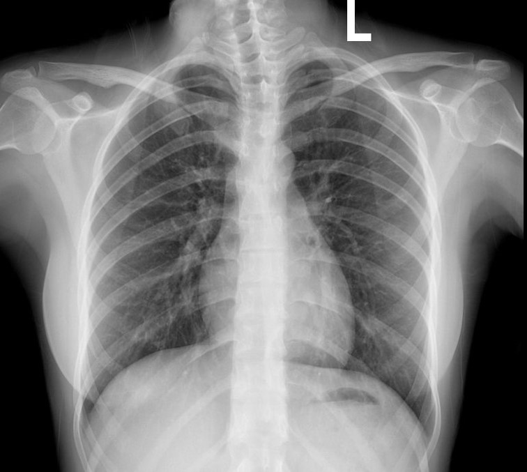
胸片检查所见:
胸廓骨骼及胸壁软组织未见异常。纵膈及器官中未见移位。
纵膈未见增宽
主动脉
无异常,心脏形态大小未见异常。
肺门形态大小未见异常。
两膈光整,两肋膈角锐利。
两肺野清晰,纹理结构清楚,未见异常密度。
印象:胸部未见明显异常。
心电图
入院诊断
冠心病 不稳定性心绞痛
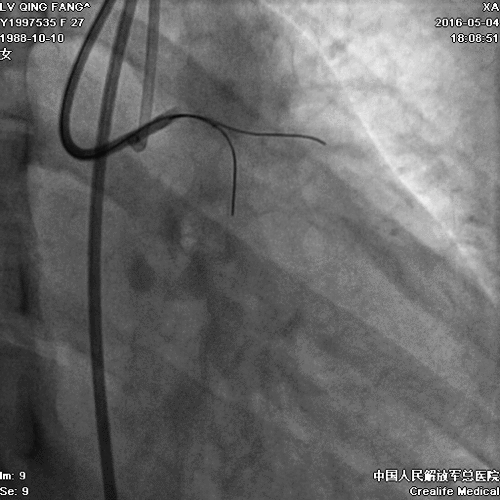
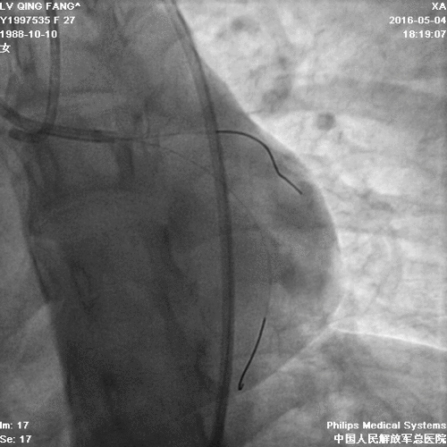
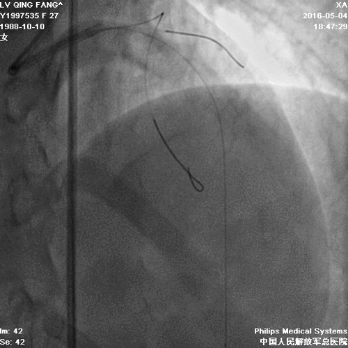
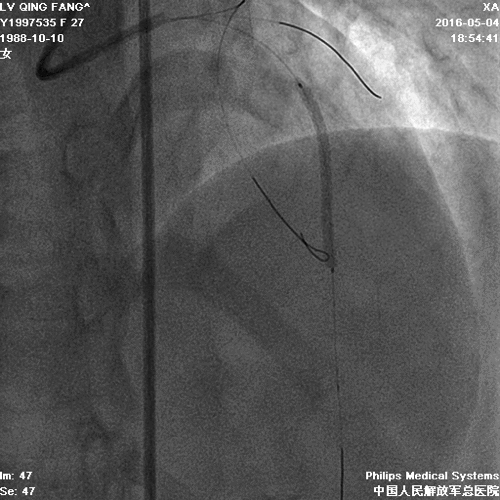
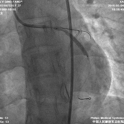
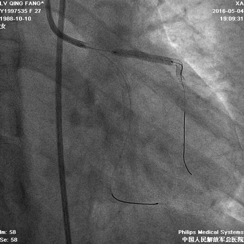
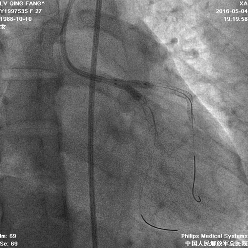
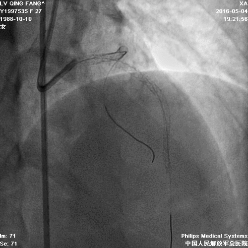
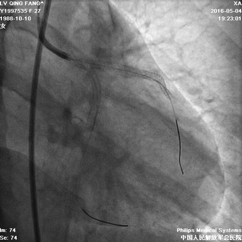
造影
冠脉CTA
印象:冠状动脉粥样硬化累及多支,局部管腔闭塞,详见描述。建议进一步进行CAG检查。
病因诊断
动脉粥样硬化导致冠脉闭塞?
大动脉炎导致冠脉闭塞?
根据病史、家族史、检验、检查结果,倾向于冠状动脉粥样硬化性心脏病。
治疗策略
• CABG 还是PCI ?
• 外科会诊意见:CABG可行;
• 病人和家属拒绝外科手术(年轻、未婚、女性);
• PCI难点:需要同时开通前降支和回旋支;
• 最终决定首先尝试PCI。
• 手术难度大、前降支和回旋支闭塞,前降支闭塞段长,开通一支可能性大,同时开通难度大。
PCI









随访
• 术后患者无心绞痛症状出现,日常体力活动不受影响。
• 同时针对患者家族上述情况,奔赴当地取全部家族血液做基因检测。
来源:医心网
编辑:Nana



京公网安备 11010102002968号