病例大赛入围作品展—逆向技术在左主干CTO病变无法重置LCX导丝的应用一例
发布于:2017-06-20 10:10
CTO开始前需要有一个完整的思路策略,对于正逆向的选择需要有很好的判断,本病例采用了两次逆向,非常精彩,下面与大家一起分享。
讲者/黄泽涵 广东省人民医院
病史
中年女性,反复胸闷10年余,加重1月
危险因素:无吸烟、糖尿病、高血压病史
LVEF: 60% LVDd:49
2008年行左冠脉PCI术
1月前外院造影示LM闭塞
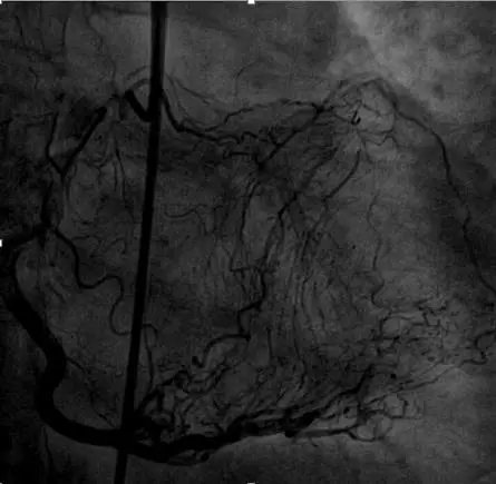
CAG
LM闭塞
RCA粗大,大量左向右侧枝形成
策略
Algorithm for Crossing CTOs
PCI-LAD
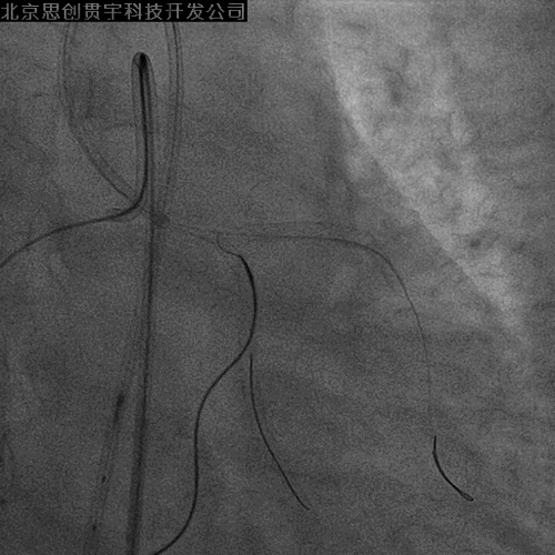
双侧股动脉
7F XB3.5指引; Pilot 150导丝;Finecross 130cm MG
LAD-IVUS
LAD中段既往支架膨胀不良
导丝主要位于真腔
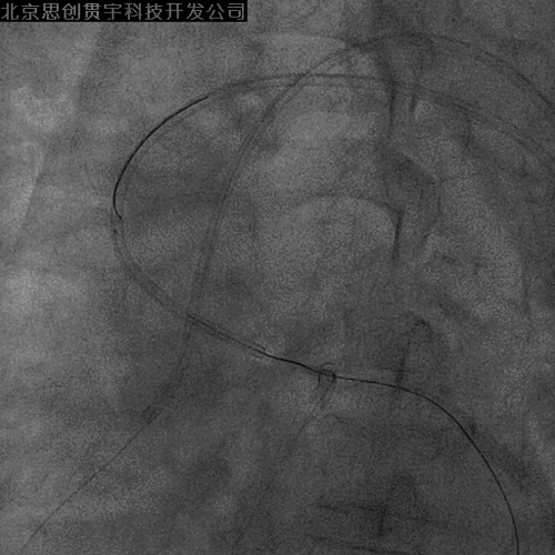
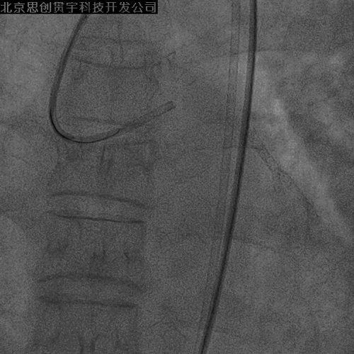
LCX-正向导丝无法通过病变
IVUS引导反复尝试
Finecross+Pilot 200等
20min后仍无法通过
拟采用逆向技术
介入策略
The PROGRESS CTO Score
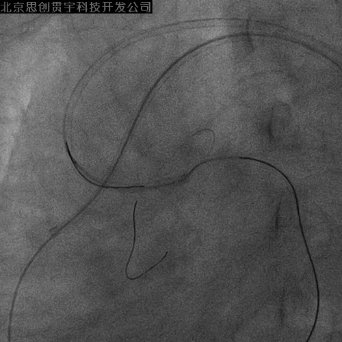
LCX-逆向PCI
PL-左房支-LCX侧枝
Corsair+SION
IVUS引导下UB3+corsair微导管进入正向指引
穿微导管技术送LCX导丝( Modified Rendezvous )
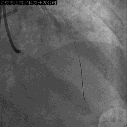
LCX-IVUS
LCX远端真腔,近端内膜下
左主干分叉介入策略
MEDINA分类(1,1,1)
角度<70°
冠状动脉分叉病变双支架术式
左冠PCI
Culotte技术
LAD—Resolute 3.0*30mm
LM-LCX—Resolute 3.0*30mm
LM-LAD—+Resolute 3.5*30mm
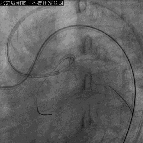
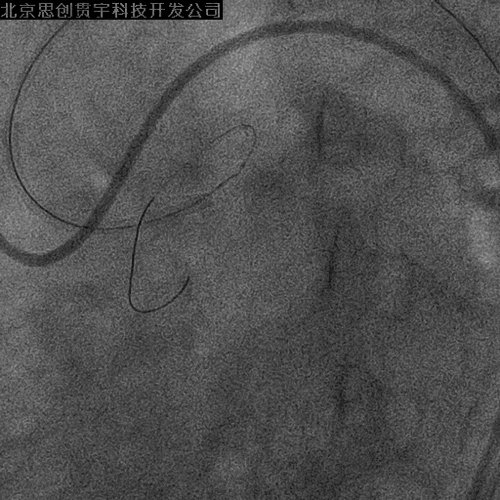
LCX开口狭窄
Finecross及双腔微导管支持下,
导丝均无法穿LM-LAD支架网眼至LCX
再次逆向掏LCX网眼
穿微导管技术( Modified Rendezvous )
球囊对吻、后扩张
POT
IVUS结果
来源:医心网
编辑:Nana



京公网安备 11010102002968号