对房间隔缺损合并房颤患者同期行ASD封堵+LAAC的一点思考
发布于:2017-06-26 10:45
文/秦永文 白元
秦永文,第二军医大学附属长海医院心血管内科主任医师,博士研究生导师,军队技术三级教授,1995年至2011年担任科室主任。现为中华医学会心血管病学分会专家会员,中国医师协会心血管内科分会常委,亚太心脏联盟结构性心脏病分会委员,上海市医学会心血管病分会顾问,担任多本国内心血管病专业杂志编委。
从医四十余年,擅长疑难和危重心血管疾病的诊治和各类心血管疾病的介入治疗,尤其是结构性心脏病介入治疗。1995年在国内首先开展经胸腔镜下行颈、胸交感神经节切除术治疗特发性QT延长综合征。2001年在国际上率先研制和应用对称型膜周部室间隔缺损封堵器,并发明了零边偏心封堵器和细腰型室间隔缺损封堵器,改良了应用于心梗后室间隔穿孔的封堵器。推动了中国先天性心脏病介入治疗事业的发展。2006年在科技部“863”计划专项基金支持下,在国内率先开展了瓣膜病介入治疗的基础研究及器械开发。2016年再次设计研制国产新型左心耳封堵器并应用于临床。先后在南美、中亚和南亚等地进行心血管介入治疗带教演示,为国内外培养了多名心血管介入专业人才。
先后承担国家863、973课题、国家自然科学基金课题、上海市科委课题10余项。发表SCI收录论文50余篇,主编专著10部,获得省部级科技进步一、二等奖5项。2009年和2011年两次获国家科技进步二等奖,受到胡锦涛总书记等党和国家领导人的接见。2011年获全军院校育才奖金奖,获国家发明专利授权四项,实用新型专利8项。荣立二等功一次,三等功两次。专家门诊时间:周一全天。
一、房间隔缺损患者中,房颤是否常见?
房间隔缺损是最常见的成人先天性心脏病,若不接受治疗(包括外科手术修补和介入治疗),随着年龄的增加,尤其是40岁之后,13%-20%的房间隔缺损患者会并发房性心律失常,主要为房扑和房颤,Chui的研究显示,ASD患者并发房颤的比例可达8.9%左右。
更值得注意的是,部分房间隔缺损患者在接受外科矫正手术或介入封堵治疗后,仍有8%-11%的患者可能出现房颤。缺损越大、年龄越大、肺动脉压越高以及并存甲状腺和二尖瓣疾病时,房颤发生的几率便越高。Park等通过随访研究发现,ASD介入术中一过性房扑/颤、房缺的后下边缘较短以及年龄大于48岁都是ASD术后新发房颤的预测因素(图1)。
图1 ASD术后新发房颤的预测因素:ASD介入术中一过性房扑/颤、房缺的后下边缘较短、年龄大于48岁
二、房间隔缺损患者并发房颤的机制是什么?
以往有观点认为,房间隔缺损的患者因长期的左向右分流导致右心房肌增厚、纤维化进而引发房颤,因此有学者对房颤患者行右心房迷宫手术来治疗房颤,但效果甚微。也有研究显示,ASD患者的左心房也会因右房增大进而收到牵张,引发结构和电生理重构,此外,肺静脉电位可能也参与其中,因此房缺并发房颤的发病机制较为复杂。但这也提示,尽早矫正房间隔缺损,心房重构有可能逆转,进而减少后期房颤的发生。另外,还需指出的是,金属材质的房间隔缺损封堵器植入后,金属对心房肌的刺激也可能引发房颤。笔者在日常临床实践中,有时也可遇到类似的病例,房缺封堵术中,当封堵器植入后即刻,患者便出现了房颤。最后,房间隔缺损封堵后的残余分流也是引发房颤的一个因素。
三、房间隔缺损合并房颤患者发生中风的可能性大么?
瑞典医生Mandalenakis等回顾了2万多例年轻先心病患者的随访资料,并与正常人群进行了比较,他们发现在长达42年的临床随访中,先心病患者更容易发生缺血性中风,比正常人群高11倍,其中主动脉缩窄、房间隔缺损、PFO都是高危因素,而对先心病人群再进行独立的分析发现,先心病人群一旦合并心力衰竭或房颤,便更容易诱发中风,其发病风险是其他先心病人群的6倍。除了此项研究,著名的Euro Heart Survey也揭示,在5年随访中,4000例成人先心病患者约4%发生了包括TIA在内的脑血管事件。我国台湾省的调查也显示,成人先心病患者发生缺血性卒中的风险是其他人的2.2倍。
我们进一步单独对房间隔缺损的患者进行分析发现,房间隔缺损或PFO的患者其发生缺血性卒中的因素包括反常栓塞和并发房颤两个方面,单纯的封堵治疗只能预防反常栓塞(图2)。如果患者存在反常栓塞的可能性或已经发生反常栓塞,不论房间隔缺损的直径多大,均应进行封堵治疗。当房间隔缺损患者还存在房颤、深静脉血栓或者肺栓塞时,个体化的抗凝方案也应立即实施。
图2 房间隔缺损与反常栓塞
四、同期行ASD和LAA封堵的探讨
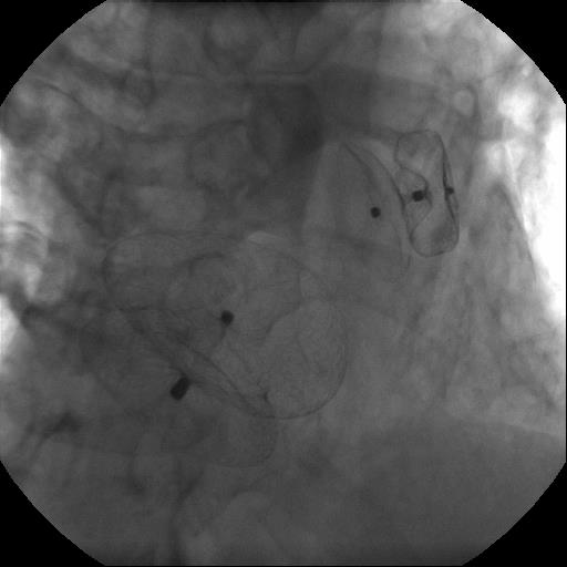
自从LAAC技术问世后,ASD和LAA的同期封堵便已在临床上出现。2006年德籍华裔医师余江涛曾在Heart杂志报道过一例采用PLAATO封堵器和AGA公司的房间隔缺损封堵器对一位76岁患者实施同期封堵,手术过程顺利,第二天患者出院(图3)。随着watchman和ACP封堵器的问世,这类同期治疗病例逐年增加,类似的个案报道有很多。国内长海医院、沈阳军区总院和西南医院等多家医院也多次在学术会议上报道过类似病例(图4)。在完成LAAC后,WATCHMAN封堵器和LACBES封堵器的输送鞘管均可直接用于房间隔缺损封堵器的植入,节省了手术时间和费用。更重要的是,笔者认为,同期封堵技术的顺利开展,也提出了一个值得大家关注的,可能成为经导管左心耳封堵的新适应症人群,即高龄房间隔缺损合并房颤的患者。
图3 PLAATO封堵器+ASD封堵器
图4 LACBES封堵器+ASD封堵器
参考文献:
1 Chiu S-N, et al., Atrial flutter/fibrillation in patients receiving transcatheter closure of atrial septal defect, Journal of the Formosan Medical Association (2016), http://dx.doi.org/10.1016/j.jfma.2016.09.005
2 J Am Heart Assoc. 2016;5:e003071 doi: 10.1161/JAHA.115.003071
3 Cardiol Clin 34 (2016) 225–230
http://dx.doi.org/10.1016/j.ccl.2015.12.004
4 Simultaneous combined interventional percutaneous left atrial auricle and atrial doi: 10.1136/hrt.2006.087635
septal defect closure



京公网安备 11010102002968号