逆向钢丝法在慢性完全闭塞病变中的应用
发布于:2008-06-16 09:12
复旦大学附属中山医院 上海市心血管病研究所 葛均波
慢性完全闭塞病变(Chronic Total Occlusion. CTO)通常是指闭塞时间>3个月的病变,该类病变约占整个血管成形术的10%-20%。CTO病变通常由血栓闭塞开始,尔后血栓机化、纤维化和钙化,导致慢性闭塞。由于CTO病变的基础病变(性质、程度)的差异以及闭塞时间的长短不同,其组织病理学的特征也各异,常伴有不同程度的钙化、炎症和斑块内新生血管生成。久之,相当一部分CTO病变患者其侧枝循环充分建立,能提供相当于90%-95%狭窄的前向血流,这有助于维持心肌存活并预防静息状态下的心肌缺血。与非闭塞病变相比,CTO病变介入治疗的手术成功率低,并发症、再狭窄和再闭塞发生率高。是目前介入治疗最具挑战性的手术。
下面就最近应用于临床的一种新方法“逆向钢丝技术”做一下介绍。文献报道过利用桥血管逆向将自身血管开通,这是逆向介入治疗的雏形,笔者在2005年TCT实况转播中首次采用闭塞血管的侧枝循环进行左主干完全闭塞病变的治疗,此后,该技术经国内外专家改进形成了较为成熟的治疗方法。
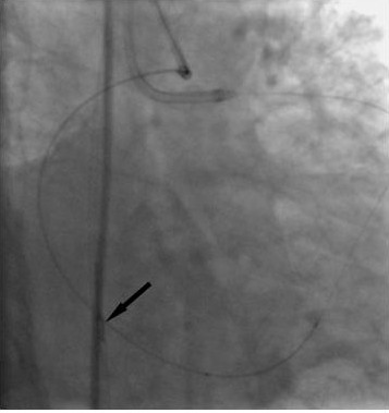
1. 逆向导引钢丝对吻技术(Retrograde Kissing Wire Technique)
慢性完全闭塞病变的介入治疗中,为提高手术的成功率,常常采用平行导引钢丝技术(Parallel wire technique)和“跷跷板”导引钢丝技术(See-saw technique)。然而在部分病例中,即便采用上述技术,导引钢丝仍无法前向通过闭塞病变处。如果其他血管对靶血管提供较好的侧支血管,通过较大的侧支血管逆向进入闭塞血管远端的真腔(如经过侧支血管进入间膈支,然后进入前降支;或者经过桥血管进入闭塞远端血管),然后操作导引钢丝通过闭塞段远端纤维帽,有时可能会比前向穿透闭塞段近端纤维帽容易。逆向通过闭塞段的导引钢丝既可以作为前向导引钢丝前进的导向,也可以形成一个通道从而有利于前向导引钢丝的通过,在极个别的病例中,甚至可以选用一个合适的球囊沿着逆行的导引钢丝扩张闭塞病变处。该技术因同时选用了两根导引钢丝沿着不同的前进方向通过闭塞病变处,所以又被形象的称之为“逆向导引钢丝对吻技术(Retrograde Kissing Wire Technique)”(图1)。(1)逆向导引钢丝技术通常选用直径大于1mm的侧支血管;(2)在放置逆行导引钢丝之前,可冠脉内给予硝酸甘油,以防自身冠状动脉和侧支血管痉挛;(3)建议选择使用亲水涂层导引钢丝,小心操控通过侧支血管进入闭塞血管远段;(4)一旦前向导引钢丝通过闭塞病变处,即撤出逆向导引钢丝。必须指出的是侧支血管血管壁较薄,而且容易痉挛,导引钢丝稍有操作不当即有可能发生血管穿孔。
2. CART(controlled antegrade and retrograde subintimal tracking)技术
该技术结合了正向和逆向双侧钢丝技术。正向和逆向钢丝分别行走在内膜下,但在闭塞处又相互限制了夹层的延伸球囊扩张闭塞处形成真假腔的交通使正向钢丝很容易的进入真腔。这是日本专家对逆向钢丝进入假腔后采用的一种方法,扩大了逆向钢丝技术的应用范围。
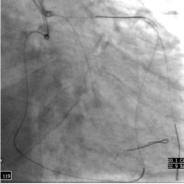
3. 导丝捕获技术(Retrograde Wire Trapping Technique, RWT)
在2008年的CTO峰会上,笔者报道了该技术,还不是太成熟,在此简单介绍一下。当逆向钢丝进入近端真腔或接近正向指引导管时,用抓捕器将逆向钢丝经指引导管拉出体外,然后用钢丝的头端做尾端进行介入治疗,但是,在钢丝外拉过程中,由于收缩期钢丝被心肌“咬住”,只能在心脏舒张期缓慢外拉,通常钢丝头端会被拉折,然而,抓捕器在指引导管中很难再次捕获被拉折的钢丝,这时,可以通过正向较大(3.0或3.5 mm)将钢丝铆紧捕获,然后在体外用抓捕器将指引导管导回,完成介入治疗(图2)。目前的导引钢丝长度受限不足以双侧暴露于体外,使介入治疗完成后导丝回撤会有一定困难,可以一侧用微导管,另一侧用单轨球囊对接,在心脏舒张期取出导引钢丝。
进行逆向钢丝技术治疗CTO病变的要求和要点有:
1) 正向治疗不能成功者
2) 病人要有较好的侧枝循环(对侧或同侧)
3) 如果有多个侧枝,首选间隔支
4) 选用短指引导管(85-90cm)
5) 探路时使用亲水钢丝
6) 微导管支持,尽量选择长的微导管
7) 准备长(150cm)球囊和1.25mm 球囊(有时侧枝循环需要预扩)
来源: 医心网



京公网安备 11010102002968号