瓷化主动脉概述及TAVR术治疗一例
发布于:2013-03-14 13:08
文 / 滕思勇 吴永健 杨跃进 高润霖裴汉军 张海涛 牛红霞 国家心血管中心 阜外医院
腾思勇 国家心血管中心 阜外医院;心内科主治医师。
目前认为主动脉钙化与动脉粥样硬化、内膜的炎症反应、氧化应激以及内膜钙磷代谢异常有关。严重的主动脉钙化称瓷化主动脉,胸部X片表现为沿主动脉分布的线性钙化,CT扫描示环状主动脉钙化,尤其累及升主动脉或主动脉弓部。主动脉钙化是影响钙化性主动脉瓣疾病(CAVD)预后的因素,部分患者可由主动脉钙化逐渐发展为CAVD,且主动脉钙化增加了CAVD的外科治疗风险。这类患者行传统主动脉瓣置换术时脑卒中和主动脉损伤的发生率明显增加,正因为如此,瓷化主动脉才被列入主动脉瓣置换术的相对禁忌症。最近一项关于27家医院参与的经导管主动脉瓣置入术(TAVR)注册资料显示, 在调查的1374例拟行TAVR的患者中,147例(10.7%)合并瓷化主动脉,1227(89.3%)不合并瓷化主动脉,钙化性主动脉狭窄(CAS)患者合并瓷化主动脉的平均发病率是7.8%±14.8%(范围0%〜70%)。其中慢性阻塞性肺疾病合并瓷化主动脉占43.5%,不合并瓷化主动脉占22.2%(P <0.0001);糖尿病合并瓷化主动脉占46.3%, 不合并瓷化主动脉占33.2%(P =0.00018);外周动脉阻塞性疾病合并瓷化主动脉占34.7%,不合并瓷化主动脉占20.0%(P <0.0001)。而且瓷化主动脉患者更容易合并冠状动脉病变, 瓷化主动脉和非瓷化主动脉患者冠状动脉缺血发生率分别为2.0%和0.1%(P <0.0001),同样, 瓷化主动脉患者中风发生率和住院死亡率均高于非瓷化主动脉患者。因此,为了提高钙化性主动脉瓣狭窄的手术和临床成功率,必须重视瓷化主动脉的诊断和合并瓷化主动脉的治疗策略。
一般认为,钙化性主动脉瓣疾病(CAVD)包括主动脉瓣钙化(AVC)与钙化性主动脉瓣狭窄(CAS)两种类型。AVC及CAS都是进展性的疾病,AVC被认为是CAS前期阶段,能逐渐进展为CAS。由于心脏超声简便、准确性较高,AVC及CAS通常由心脏超声即可诊断。但部分CAS患者由于心功能受到抑制,表现低压差和低流速,需要相应检查进一步明确。AVC也可以通过普通X片发现,但敏感性较差;而多排CT特别是电子束CT(EBCT)亦能检测AVC,CT影像的三维评估可以使临床医师对主动脉环的复杂几何学进行更详细的评估,并能对钙化进行定量积分分析,包括整个主动脉和髂股动脉范围。美国心血管计算机断层扫描学会建议在行经导管主动脉瓣置入术(TAVR)/经导管主动脉瓣置换术(TAVR)前先行CT影像检查,突出了影像检查模式对接受导管主动脉瓣患者的重要性,以避免漏诊瓷化主动脉,增加手术风险。
主动脉瓣置换术(AVR)作为CAS的重要治疗手段,经过长时间的临床实践已经十分成熟,但是其适应症的局限性使得一部分重症或合并瓷化主动脉患者失去了治疗的机会。随着经导管主动脉瓣置换(TAVR)术的研发、改进和推广,CAS治疗方面取得突破性的进展,目前已经成为CAS治疗的有效措施。TAVR不但可以降低症状性CAS患者跨瓣压,改善患者的症状,提高其生活质量,还可以提高心肌功能,逆转左室重构,降低患者死亡率。2012年美国TAVR专家共识、欧洲瓣膜性心脏病相继提出了TAVR适应症的建议,目前认为,TAVR主要的适应症为:①有症状的严重主动脉瓣狭窄(瓣膜口面积< 1 cm2 ) ; ②欧洲心脏手术风险评分(EuroSCORE)≥20 %或美国胸外科学会危险(STS)评分≥10 %。截止目前,全球已有50 000多例患者接受了TAVR治疗。新近研究报道的病例数越来越多,手术效果也越来越令人鼓舞。近2年来发表的大型TAVR研究的结果显示,TAVR成功率很高(93.3%-98.4%),30天死亡率较低(8.5%-12.7%)。研究证实,对于外科手术禁忌的重度CAS患者,TAVR优于传统保守治疗;对于外科手术高危的重度CAS患者,TAVR与外科手术效果相当;同样,合并瓷化主动脉的CAS患者也可以选择TAVR治疗策略。
TAVR主要的手术入路有:经股动脉途径、经心尖途径、经升主动脉途径、经锁骨下动脉途径、经腋动脉途径和颈动脉途径。对于瓷化主动脉患者行TAVR的手术径路的选择主要根据主动脉瓷化的范围和严重程度。如果胸腹主动脉及股动脉均累及可以考虑经心尖途径或升主动脉途径。如果考虑经升主动脉途径,需要对升主动脉行3维容积再发布CT扫描明确升主动脉的钙化范围和程度。如果扫描结果示升主动脉上1/3区域无钙化,仍可以考虑经升主动脉径路完成TAVR术。
病例: 男性患者,65岁,2012年11月22日以“活动后胸闷、气短1年,加重5个月”入院。2012年5月曾入阜外医院外科住院,超声提示主动脉瓣重度狭窄,冠状动脉造影示LAD中段及D2 50-70%狭窄,OM1 近段80%狭窄,拟行主动脉瓣置换术,开胸后发现升主动脉僵硬、钙化,考虑瓷化主动脉,手术风险极高,停止手术,给予药物治疗。出院后患者日常活动仍有胸闷气短,症状逐渐加重,为行TAVR术再次入院就诊。既往高血压病史10年,糖尿病病史5年。入院查体:BP 130/90mmHg,神情,双肺呼吸音粗,可闻及湿性罗音,心率76次/分,主动脉瓣听诊区闻及IV/6级收缩期杂音。双下肢轻度浮肿。超声心动图示:左房前后径44mm,左室舒张末期前后径46mm,EF值66%,主动脉瓣瓣叶明显增厚、钙化,平均跨瓣压差49mmHg,超声诊断主动脉瓣病变,主动脉瓣重度狭窄伴少量返流,二尖瓣少量返流。诊断为:1、心脏瓣膜病,主动脉瓣重度狭窄、轻度关闭不全,心脏扩大,心功能III级;2、2型糖尿病;3、高血压病。入院后给予药物治疗控制症状,改善心功能,完善术前准备。签署知情同意书后于11月26日经股动脉途径行TAVR术。术后查体:BP120/80mmHg,双肺呼吸音粗,未闻及干湿性罗音, 心率86次/分,律齐,心音可,双下肢无水肿。术后心电图示:完全性左束支传导阻滞。超声心动图示:EF值64%,主动脉瓣人工瓣固定,瓣叶启闭无受限,少量瓣周返流,平均跨瓣压差约10mmHg,超声诊断TAVR术后,主动脉瓣人工瓣瓣周少量返流。给予拜阿司匹林、波立维等药物治疗。11月30日行永久起搏器置入术。术后随访2月,活动耐量明显增加,无不适。
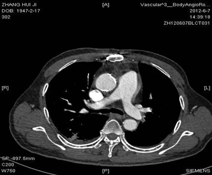
图1:CT扫描示升主动脉钙化
图2:CT三维重构图示钙化主要累及升主动脉、无名动脉和双侧颈动脉
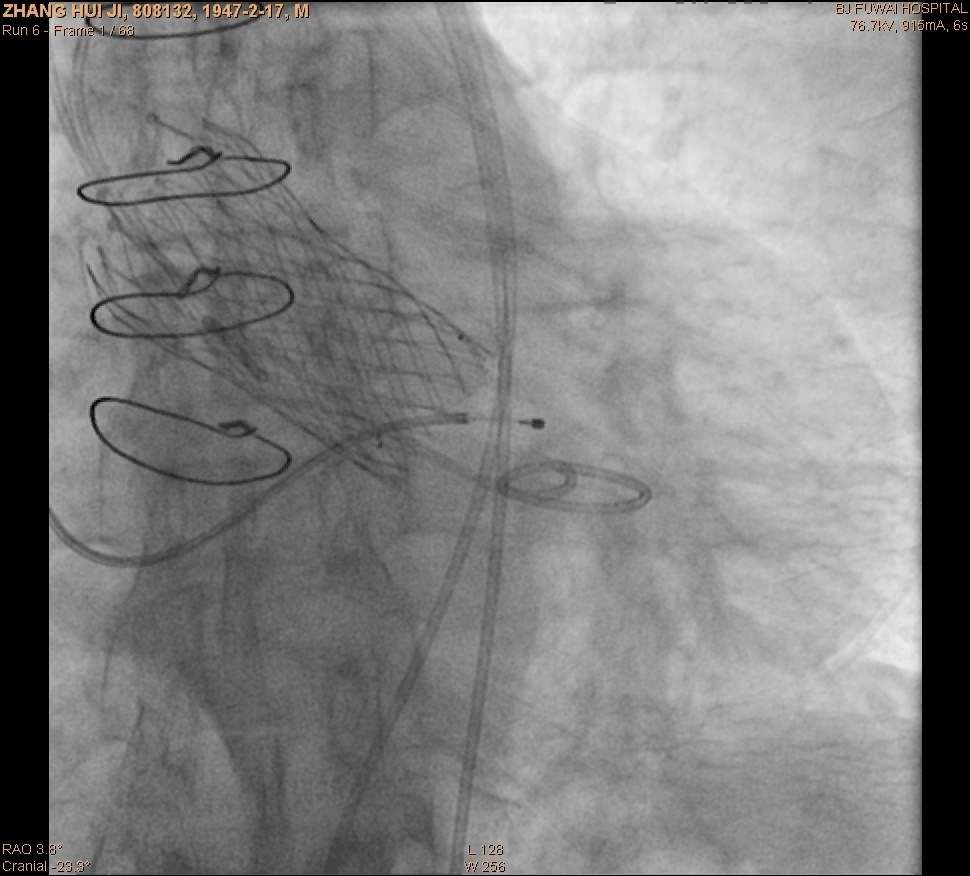
图3:经股动脉途径行TAVR术



京公网安备 11010102002968号