Percusurge抽吸导管吸出巨大血栓
发布于:2004-08-03 13:28
复旦大学附属中山医院心内科 上海市心血管病研究所 钱菊英
病史资料
女性、73岁
冠心病危险因素:LDL升高、高血压
急性下壁心肌梗死
病变情况
左主干正常,前降支近段局限性狭窄50%;
回旋支多处管壁不规则,中段狭窄60%;
左冠远端少量侧枝供应右冠远端。
病变情况

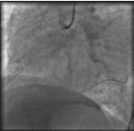
右冠近段完全闭塞,血流TIMI 0级。
治疗经过

6F JR4 指引导管
0.014”BMW导丝
导丝通过后,仍无血流
![]() 球囊多次扩张 大量血栓征象 |
|
治疗方案:
1、继续球囊扩张
2、植入支架
3、放弃手术,择期行介入治疗
4、冠脉内注射溶栓药
5、机械性血栓取出
治疗经过
|
|
治疗方案
1、手术结束
2、球囊扩张
3、植入支架
3、冠脉内溶栓药物
治疗经过
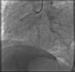
![]() Hayate 2.5*20mm 球囊 |
|
好心做了坏事?
1、对吻球囊扩张
2、植入支架
3、冠脉内溶栓药物
经验
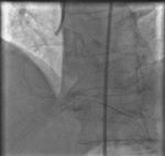
大量血栓性病变可采用Percusurge 抽吸导管将血栓吸出体外
来源: 医心网
相关文章:






京公网安备 11010102002968号